Don't have an account?
Wide range of MR cardiovascular imaging techniques to assess morphology, flow, function and tissue viability while adapting to a wide variety of patient types.
Quantifiable
Enables objective measurements based on quantitative data for a more reliable result
Personalized
Accommodates the individual characteristics and needs of each and every patient
Consistent
Enables reliable monitoring of cardiac health while delivering the best possible care to patients
Fast
Advanced acceleration techniques for fast and reliable exams
Cardiovascular MRI imaging applications
AIR™ Coil
Representing a new standard in MRI coil technology, AIR™ Coils enable a simplified, faster workflow while maintaining excellent image quality.
Wireless Gating
Innovative triggering tool with the driver not attached to the gantry, giving you more flexibility and improved workflow
Sonic DL™
Deep learning based MR acceleration to capture rapidly moving anatomies, such as the heart, without extending scan time or sacrificing diagnostic utility
Black Blood SSFSE - compatible with AIR™ Recon DL
Used to suppress the signal of flowing blood to accelerate scans compared to FSE. Can be acquired while free breathing or in a single breath-hold
Time Course with MoCo - compatible with AIR™ Recon DL
Used for cardiac first-pass analysis with bolus, now compatible with Motion Correction (MOCO) algorithm for entirely free breathing acquisitions
AIR™ Recon DL
AIR™ Recon DL is a pioneering deep-learning-based reconstruction algorithm that enables radiologists to achieve pin-sharp images quicker
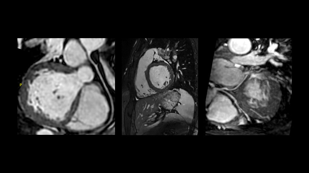
MDE Plus – compatible with AIR™ Recon DL
Inversion-based cardiac gated acquisition that enhances the contrast between infarcted and normal myocardium, accommodates difficult-to-scan patients
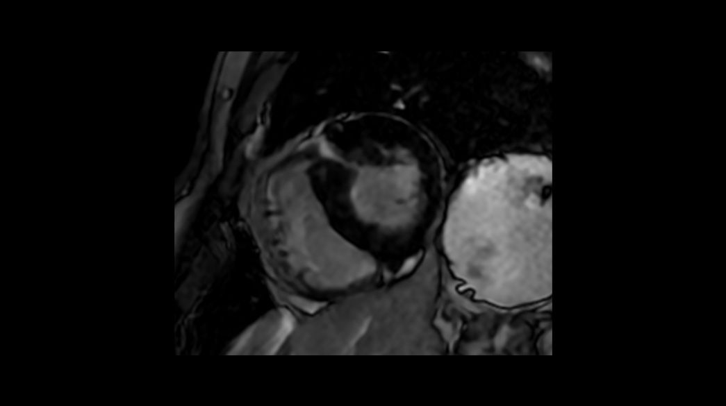
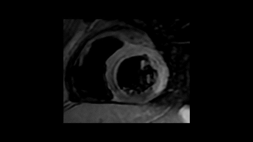
FIESTA Cine
Can be used as a gated or non-gated sequence to assess anatomy and function, with excellent tissue contrast between blood pool, myocardium and valves
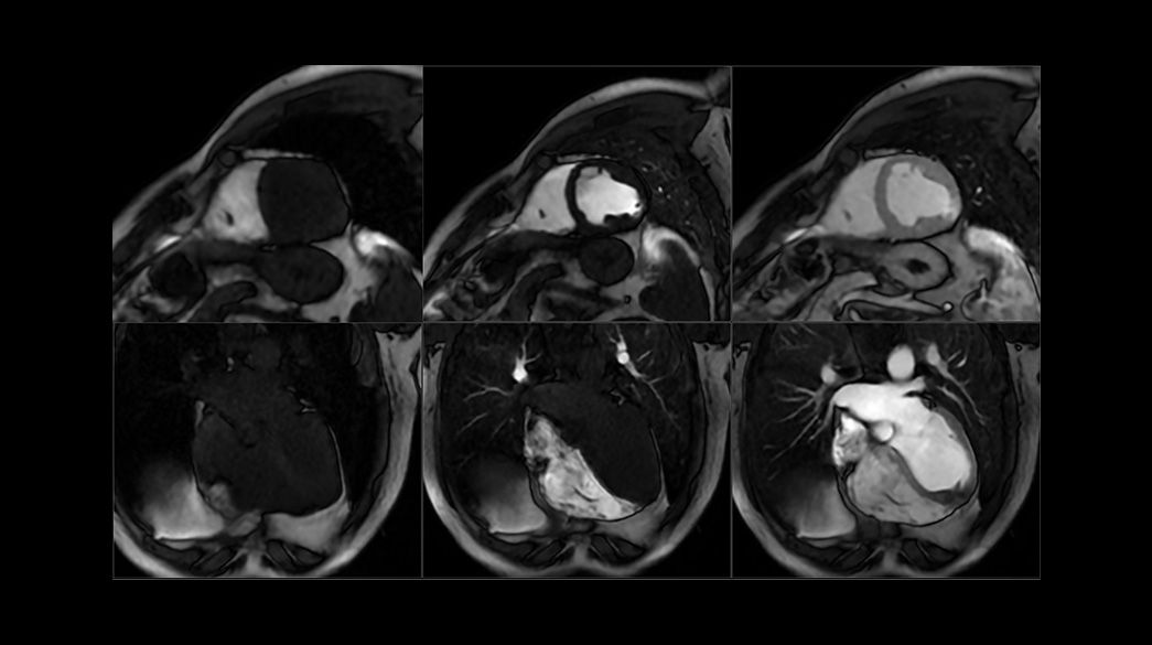
2D Phase Contrast
A quantification sequence used to calculate flow velocity and measure regurgitation flow in heart valves or vascular structures.
Fluoro Trigger MRA
Fluoroscopic triggering is a real-time bolus detection method of contrast arrival for vascular scans.
TRICKS
MR Angiography imaging that helps accelerate the temporal domain of 3D dynamic imaging – without compromising spatial resolution.
ViosWorks
4D Flow visualization and quantification in a free-breathing 8-minute scan. Captures the entire ventricular volume in a single breath-hold
cvi42
Easy and efficient post processing analysis workflow of advanced function, flow, tissue characterization, perfusion and tissue mapping of the heart
suiteHEART®
suiteHEART® software, a comprehensive, fast and intuitive cardiac MR tool that can aid in diagnosing hard-to-detect cardiac conditions
CardioMaps – compatible with AIR™ Recon DL
T1 Mapping as a choice is based on an GE HealthCare exclusive sequence SMART1Map or on an inversion recovery sequence MOLLI
StarMap – compatible with AIR™ Recon DL
A non-invasive technique that evaluates iron overload in the myocardium and liver
3D Heart – compatible with AIR™ Recon DL
3D free-breathing, non-contrast assessment of the whole heart that can be used on both adults and children
MDE FatSat – compatible with AIR™ Recon DL
Volumetric approach to assess myocardial enhancements and atrial wall enhancements. Compatible with navigator for free breathing scans
SSH (PS) MDE with Respiratory Triggering – compatible with AIR™ Recon DL
Allows for a total free breathing and real time acquisition of late gadolinium Enhancement. Also available with Phase Sensitive technique
Inhance Suite
Improves workflow with easy setup through visualization of blood flow in diverse anatomies. Includes: 3D IFIR, 3D Velocity, 2D InFlow, 3D DeltaFlow
Cardiac MR has been too slow, complex and inconsistent for too long1. Now with cardiac MR for SIGNA™, that’s all in the past.
Experience accelerated diagnostics and crystal-clear imaging, powered by deep learning. From AI-boosted precision to lightning-fast scans, explore the seamless connection between innovation and patient-centric care.
Explore a complete cardiac MR solution enhanced by deep learning.
MR image reconstruction with AIR™ Recon DL
Air Technology Coils for Magnetic Resonance Imaging
Sonic DL: Life-Speed Imaging, Now in 3D