Not all products or features are available in all markets.

  • Change country/language

    Looks like you’re in {} — you’re on the {} site.

    Cancel

    Country and language selected

    You are being redirected to the {} site. Products and services availability vary by country. Do you wish to continue?

    Continue
    Cancel

Imactis® CT-Navigation™

Planning and navigation solution for interventional percutaneous radiology that can increase procedure accuracy, reduce time, simplify workflow and reduce dose.¹

ct-navigate-hero-ba-en

At a glance

Accuracy

Improve accuracy to reach the target and avoid critical structures and organs¹

Versatility

Ideal to use with various percutaneous interventions* with various complexities

Ease-of-use

Quick set-up of less than 5 min² and a short learning curve of 6.63 cases on average

Mobility

Mobile and compatible with existing and new CT scanners

In healthcare today, the demand for minimally invasive, highly precise diagnostic and therapeutic procedures continues to rise, driven by an aging population, increased incidence of cancer and chronic disease, and the growing emphasis on safety and efficiency.

CT-guided interventions have emerged as a critical solution to meet this demand, offering outstanding visualization and real-time guidance for targeting small, deep, or anatomically complex lesions. As healthcare providers seek to improve outcomes, reduce complications, and optimize resource utilization, CT-guided navigation technologies are becoming indispensable tools in interventional radiology, oncology and beyond.
1.96M

Incidences of cancer in the U.S. in 2023, with a projection to rise to 2.27M by 2050⁴

$14.2B

The projected size of the interventional radiology market by 2033⁵

82%

Of hospitals are concerned with the growing volume of CT procedures⁶

50%

Reduction in procedure time with CT-guided navigation7,8

Key benefits
A revolution in interventional radiology
In interventional radiology, the success of the percutaneous procedure depends on correct needle positioning. The Imactis system helps the radiologist place one or more needles with great accuracy, in less time and with fewer control scans.
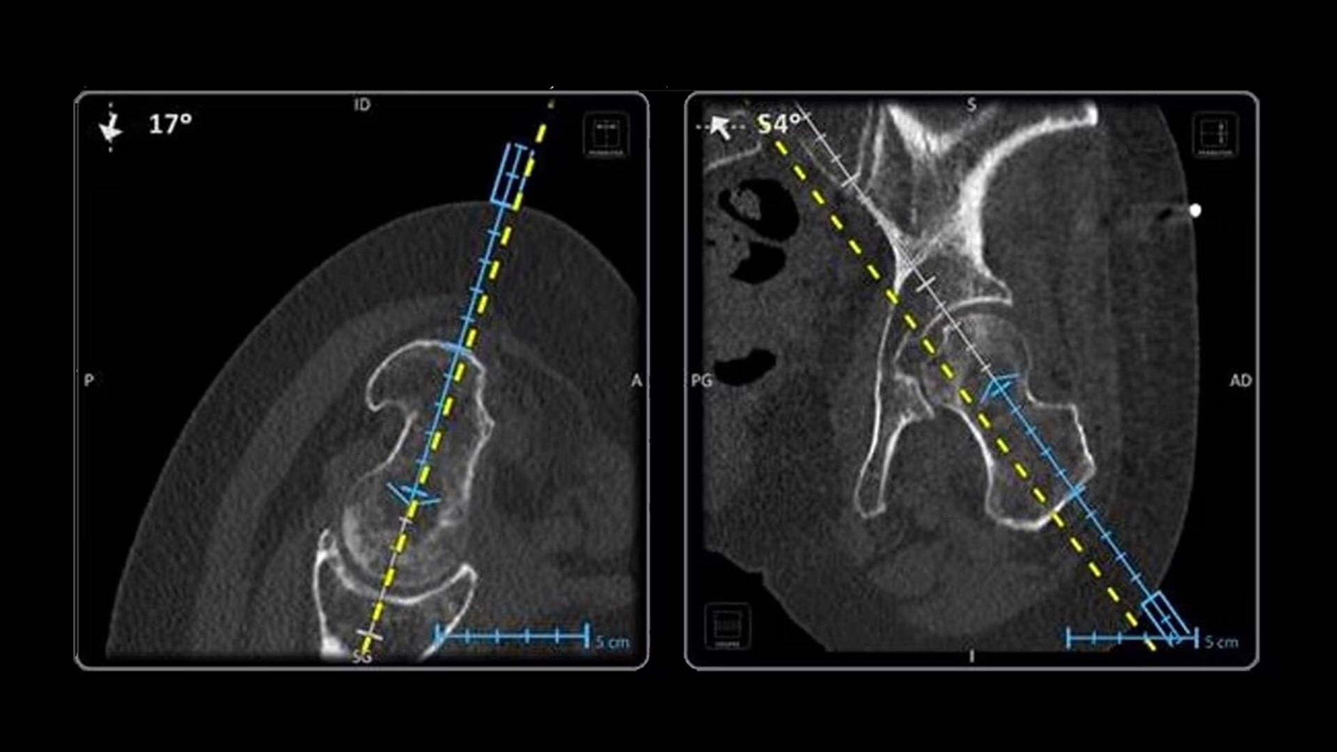
Versatility
Fully compatible with any type of needle, from 25 gauge to 11 gauge, Imactis can be used for a wide variety of procedures.
The CT navigation solution optimizes the efficiency and potentially helps to improve clinical outcomes of biopsies, thermoablations, drainages, infiltrations, electroporations and osteosynthesis.
feature-hero-versatile-desktop-st-en
Ease-of-use
Imactis has a user-friendly workflow that is easily learned through hands-on training.
The short learning curve will get users up to speed quickly with a less than five-minute set up, multi-needle compatibility and an easily mobile system.
feature-hero-simple-desktop-st-en
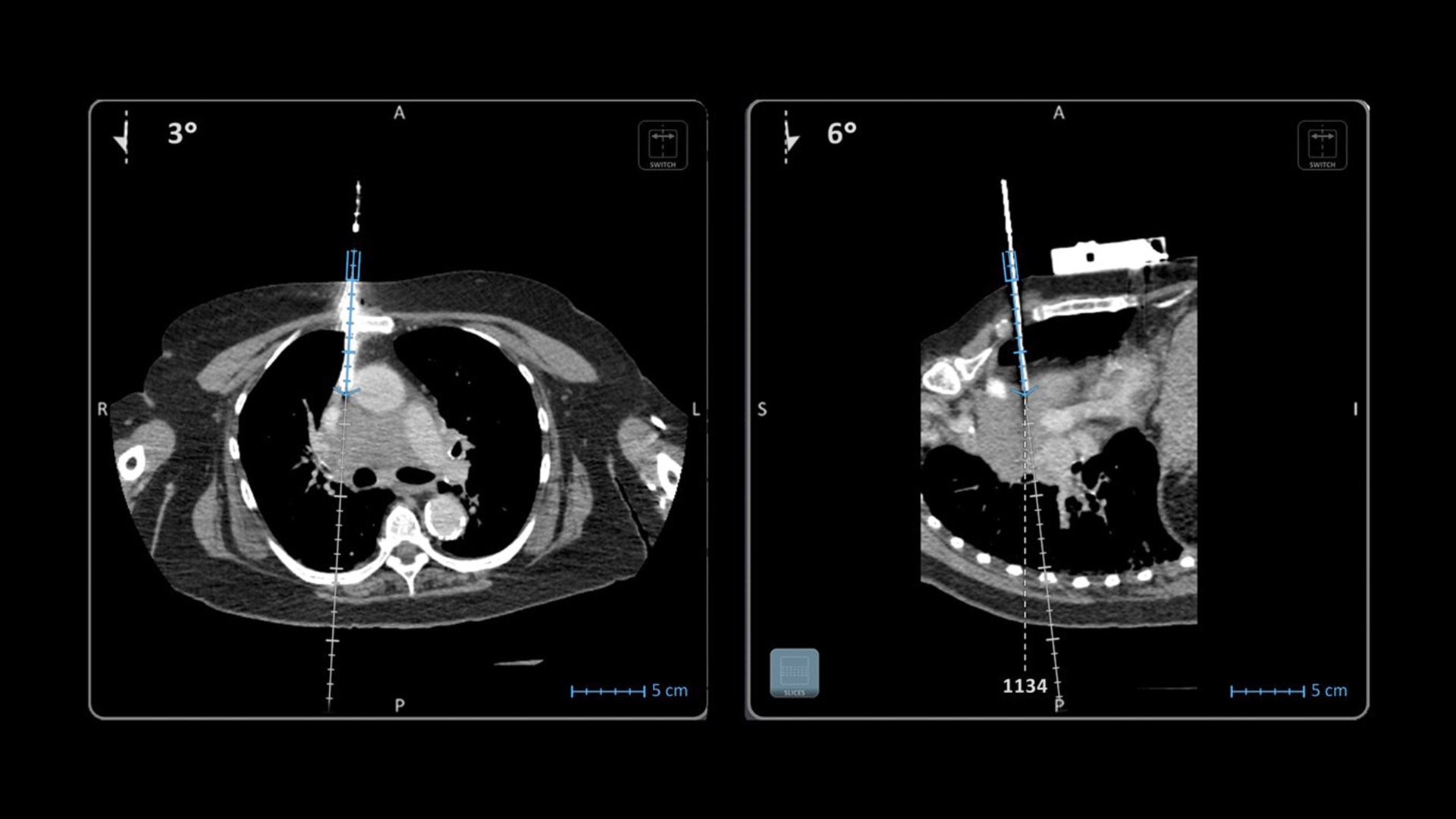
Accuracy
Imactis enables you to find the ideal path to the target.
With real-time image reconstruction, live interactive navigation and no limit in angulation, the optimal clinical choices are clear.
feature-hero-accurate-desktop-st-en
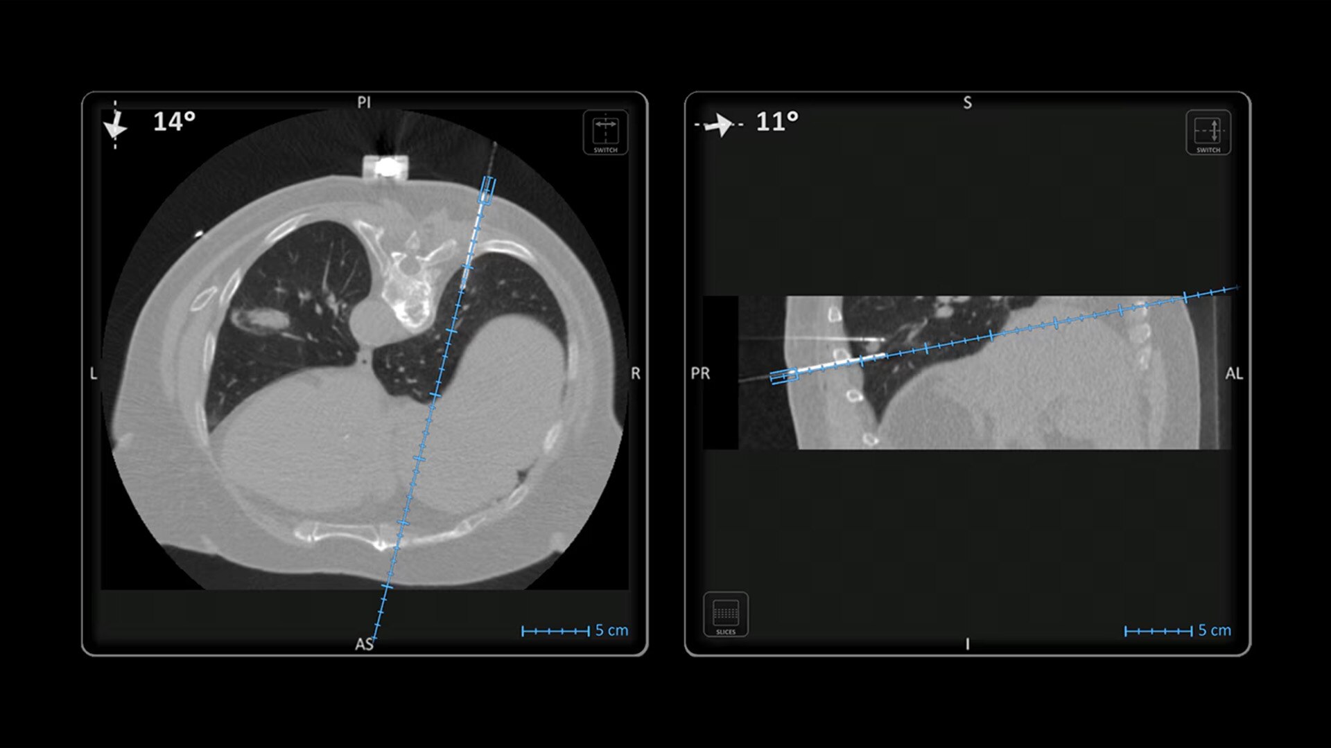
Safety
Imactis is designed for patient safety
Live 3D needle tracking, precise reproduction of your planned trajectory and continuous needle depth measurement help ensure optimal needle placement.
feature-hero-safety-desktop-st-en
promo-dynamic-award-winner-desktop-v3-st-en
Award winner

Vizient® innovative technology designated product

Imactis received an Innovative Technology designation from Vizient, Inc. for its CT-Guided Interventional solutions that seamlessly integrate into your workspace to help perform interventions with more accuracy, efficiency, and confidence.
ge-service-shop-ba-en
GE HealthCare Service Shop

Order Imactis from the convenience of Service Shop

Designed to meet the growing needs of your facility, Service Shop gives you 24/7 access to the parts, accessories and consumables you need, when you need them. We know it's a patient, not a part, so it has to be right.
Disclaimer
*Not indicated for guidance in the head, neck and central nervous or central circulatory system (Heart included)
References
  1. P. Durand et al. (Plos One, 2017), CHU Grenoble Alpes (France)
  2. As measured internally by IMACTIS. Results may vary.
  3. Based on Imactis® CT-Navigation™ users response to internal interview. Results may vary.
  4. American Society of Clinical Oncology. https://www.asco.org/abstracts-presentations/ABSTRACT411342
  5. Patil, Rohan, Interventional Radiology Market Size, Share, and Trends 2025 to 2034, Precedence Research, 07 June 2024.
  6. Data source is based on IMV 2018 CT Market Outlook Report. © 2018 IMV, part of the Science and Medicine Group.
  7. C. Teriitehau, H. Rabeh, E. Pessis, Q. Sénéchal, F. Besse and M. Bravetti. (2020). Reduction of patient radiation dose during percutaneous CT vertebroplasty: Impact of a new computer-assisted navigation (CAN) system. (Volume 55, Number 1).
    Radioprotection. https://doi.org/10.1051/radiopro/2019049
  8. As each hospital is unique, results may vary. GE Healthcare does not guarantee the results identified herein.
  9. Dr. Barral is a paid consultant for GE HealthCare and was compensated for participation in this testimonial. The statements by Dr. Barral described here are based on his own opinions and on results that were achieved in his unique setting. Since there is no “typical” hospital/clinical setting and many variables exist, i.e., hospital size, case mix, staff expertise, etc., there can be no guarantee that others will achieve the same results.
  10. Dr. Cornelis is a paid consultant for GE HealthCare and was compensated for participation in this testimonial. The statements by Dr. Cornelis described here are based on his own opinions and on results that were achieved in his unique setting. Since there is no “typical” hospital/clinical setting and many variables exist, i.e., hospital size, case mix, staff expertise, etc., there can be no guarantee that others will achieve the same results.
  11. Dr. Filippiadis is a paid consultant for GE HealthCare and was compensated for participation in this testimonial. The statements by Dr. Filippiadis described here are based on his own opinions and on results that were achieved in his unique setting. Since there is no “typical” hospital/clinical setting and many variables exist, i.e., hospital size, case mix, staff expertise, etc., there can be no guarantee that others will achieve the same results.
Get in touch

Have a question? We’d love to hear from you.

Contact us

We're ready to support you in your moments that matter.

We’re sorry, a problem occurred with the form. Please try again.
Thank you for your inquiry.

We will be in touch soon.

Something went wrong

We will check and get back.

JB25344XX July 2025