Not all products or features are available in all markets.

  • Change country/language

    Looks like you’re in {} — you’re on the {} site.

    Cancel

    Country and language selected

    You are being redirected to the {} site. Products and services availability vary by country. Do you wish to continue?

    Continue
    Cancel

Revolution RT

Revolution™ RT is a new multi-purpose wide bore CT scanner that meets virtually all your needs with an all-encompassing approach in radiation therapy planning, simulation and diagnostic imaging.

revolution-rt-og

At a glance

  

Wide Bore system with MaxFOV2

Couples an 82 cm bore size with a deep learning 80 cm FOV

Deviceless 4D

No external device needed for respiratory gating

Smart MAR 2.0

Helps reduce metal-induced photon starvation and beam hardening artifacts

Smart Subscription for RT

Get the latest capabilities to support your radiotherapy needs

promo-dynamic-workflow-solutions-ba-en

Solutions that help you take back time for patient care

Getting patients to the best possible treatment as soon as possible is our top priority. With our vendor-neutral radiation oncology workflow solutions, you can streamline operations without disrupting existing infrastructure.

Advancing precision in radiation therapy

Revolution RT is a comprehensive radiation therapy solution providing an all-encompassing approach to radiation therapy planning. Delivering a streamlined workflow and sub-millimetric images that are effectively free of motion and metal artifacts. And it allows for simulation across an 82 cm wide bore with 80 cm field of view reconstruction.
Key features
AI-enhanced oncology solutions
Advanced Applications to enhance your workflow with deep learning-based MaxFOV2 that expands the DFOV to 80 cm allowing clinicians to visualize more anatomical information. Smart MAR 2.0 to reduce beam hardening artifacts out to 80 cm DFOV.
Precision

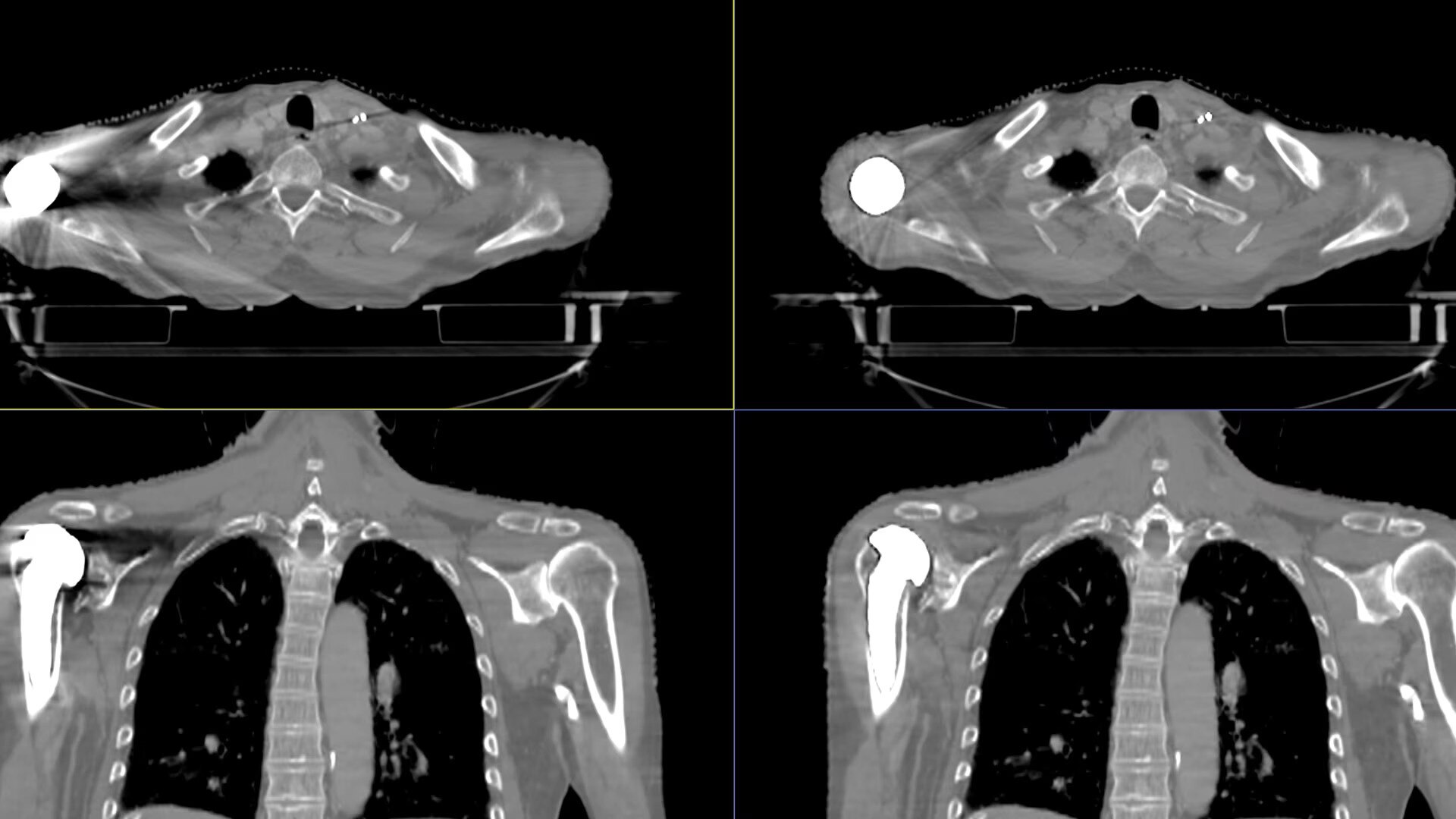
MaxFOV 2

The unique needs of radiation oncology make it important to have image data across the entire bore of the CT simulator. MaxFOV 2 uses GE HealthCare’s proprietary deep learning algorithm to build an extended view up to 80 cm. With up to 80 cm extended Display FOV (DFOV), MaxFOV2 allows for fewer limitations and better image quality that include:

  • ± 2 mm skin line accuracy and ± 40 HU CT number accuracy of water from 50 cm to 70 cm DFOV *
  • ± 3 mm skin line accuracy and ± 60 HU CT number accuracy of water from 70 cm to 80 cm FOV *

*As demonstrated by phantom testing

featured-hero-precision-desktop
Efficiency

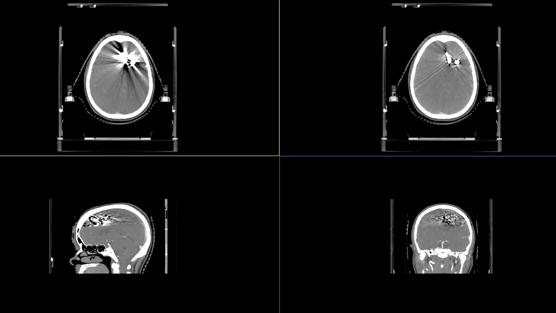
Smart MAR 2.0

Smart MAR 2.0 is designed to reduce artifacts of high-density materials, including orthopedic implants, dental fillings, and other metals in the body. Our metal artifact correction technology is based on raw data, enabling you to reduce artifacts caused by both photon starvation and beam hardening, revealing the anatomy that was concealed all the way out to 80 cm FOV.
featured-hero-efficiency-desktop
Simplified workflow

Smart Deviceless 4D

By measuring respiratory motion directly from the patient’s internal anatomy, this breakthrough innovation allows you to create 4D images without using an external monitoring device. The result is a simplified workflow for the staff and patient, while still providing high-quality gated studies for advanced therapies, such as SBRT.
featured-hero-simplified-workflow-desktop
Continuum

Smart Subscription

With a combination of computing hardware and software enhancements, this subscription service allows you to optimize key RT technologies when needed. Instead of a CT Simulator that starts to “fall behind” technologically from the time you order it, you can now take advantage of future generations of applications and enhancements so you have a system that's always getting better.
featured-hero-continuum-desktop
JB02553XU October 2024

Have a question? We would love to hear from you.

Contact us

We're ready to support you in your moments that matter.

We’re sorry, a problem occurred with the form. Please try again.
Thank you for your inquiry.

We will be in touch soon.

Something went wrong

We will check and get back.