Not all products or features are available in all markets.

  • Change country/language

    Looks like you’re in {} — you’re on the {} site.

    Cancel

    Country and language selected

    You are being redirected to the {} site. Products and services availability vary by country. Do you wish to continue?

    Continue
    Cancel

ECG-less Cardiac CT

By removing the need for ECG traces, this innovative technology streamlines patient preparation, saving valuable time and reducing the complexity of Cardiac CT procedures.

ecg-less-cardiac-ct-ba-en

At a glance

Legacy of innovation

The ECG-less CT (a cardiac CT scan without an ECG trace) is an industry-first

Increases Cardiac CT access

Address cardiac exams where patient access and speed need to be prioritized

Simplified workflow

Useful in exams where excluding ECG traces would streamline patient preparation

ECG-less Cardiac is a tool that can be utilized in CT examinations where excluding the ECG connection might be desirable, and could help address cardiac exams where patient access and speed need to be prioritized.

These include highly instrumented patients where attaching another ECG device and potentially detaching a diagnostic ECG monitor is not practical. Emergency patients who need access to cardiac evaluation and require fast loading/unloading. In circumstances that prevent obtaining an adequate ECG signal from the patient, and in structural heart assessments.
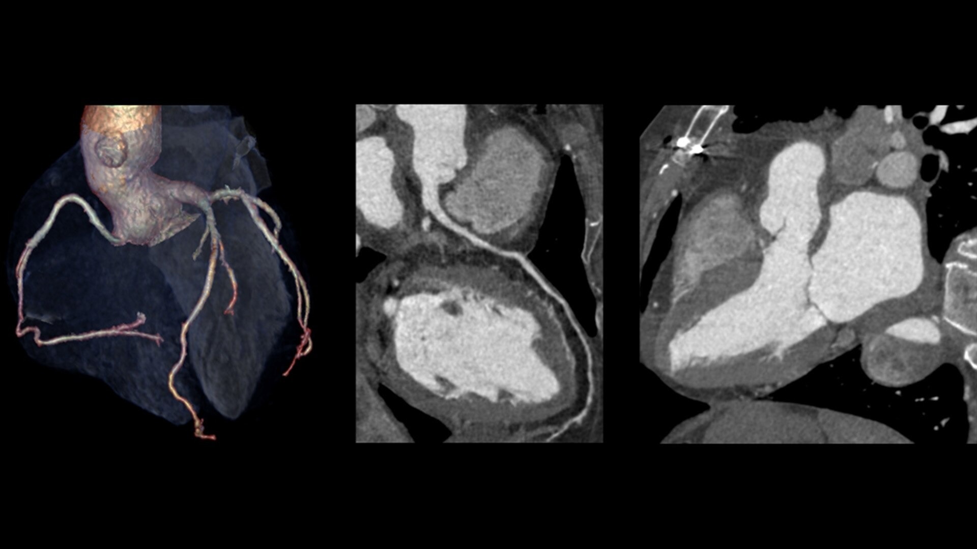
Revolutionizing cardiac CT
Image patients quickly without an ECG trace
Powered by breakthrough technology, ECG-less Cardiac CT allows clinicians to streamline the workflow and meet the clinical needs of patients who don’t have a readily accessible ECG
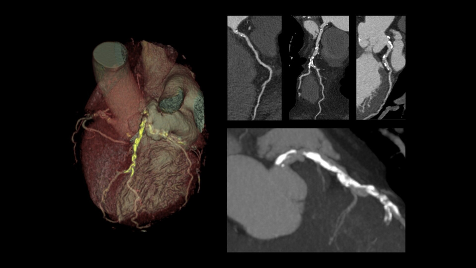
A hardware breakthrough
Visualize the whole heart in a single rotation
The 160 mm Clarity Detector's z-coverage makes whole-heart coverage in a single axial rotation a reality. This hardware breakthrough provides outstanding image quality for all patients.
ecg-less-cardiac-ct-st-en
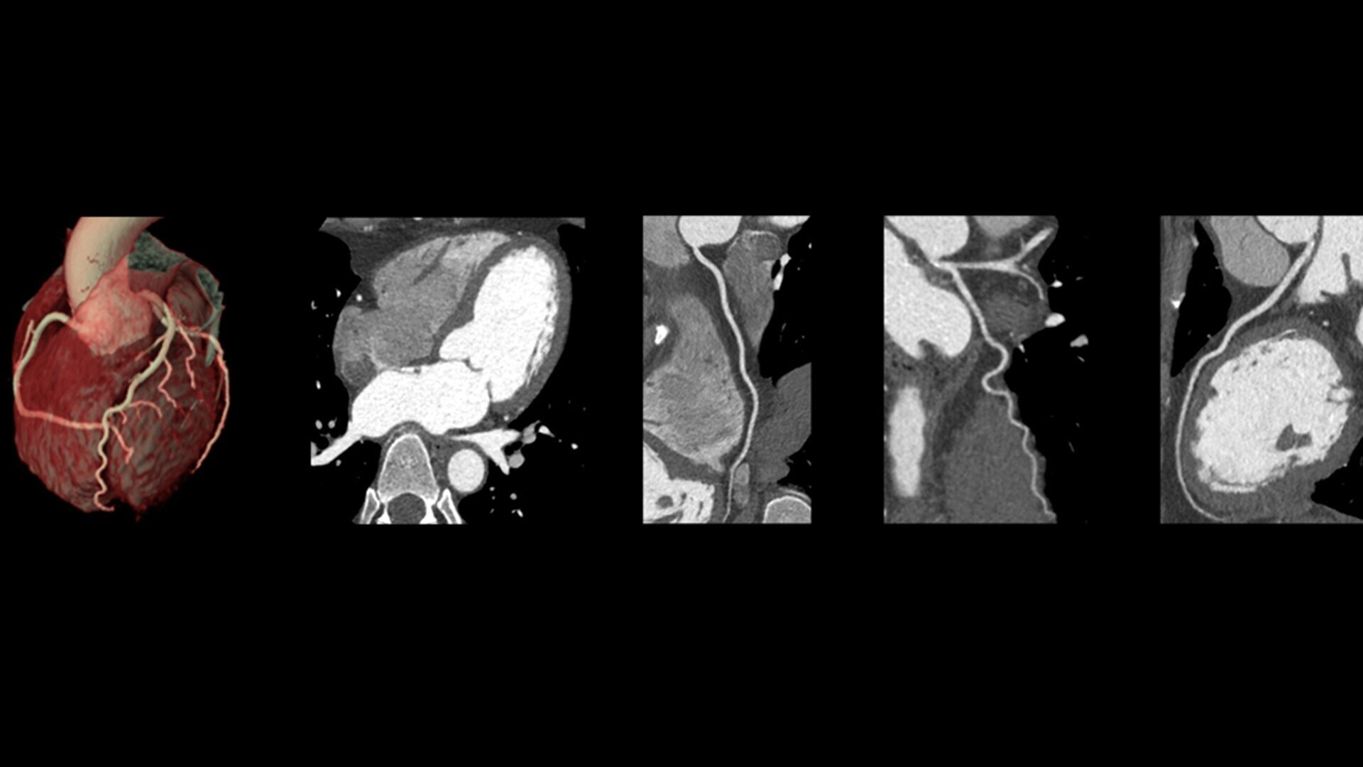
Put the freeze on
High-quality scans regardless of heart rate
Temporal resolution is a critical factor in cardiac CT imaging because it determines the ability to freeze the motion of the beating heart, thus reducing motion artifacts and improving image clarity. Revolution Apex Elite delivers 19.5 msec effective cardiac temporal resolution, enabling by the fastest 0.23 s gantry rotation and SnapShot Freeze 2 (SSF2) whole-heart motion-correction algorithm.**
ecg-less-cardiac-ct-2-st-en
Streamlined workflow
Automation fosters rapid, reliable imaging
Smart Phase is a reconstruction feature designed to intelligently select the best cardiac phase for image reconstruction. This ensures improved image quality with the least motion and enhances workflow by reducing the need for manual phase adjustments.
ecg-less-cardiac-ct-3-ci-en
Reduce artifacts
Intelligent and automated whole-heart motion correction for enhanced Cardiac CT imaging
Snapshot Freeze 2 is an intelligent motion correction algorithm that's designed for coronary and valve motion correction, chambers, myocardium correction and great vessels motion correction.
ecg-less-cardiac-ct-4-ci-en

Disclaimers

*The studies varied by clinical indications, study protocols and comparison methods. The results and conclusions obtained in these studies are applicable to the specific studies cited and may not be generalizable or reproducible in every practice.

**As demonstrated in mechanical and mathematical cardiac phantom testing.

JB33348XX May 2025
Get in touch

Have a question? We’d love to hear from you.

Contact us

We're ready to support you in your moments that matter.

We’re sorry, a problem occurred with the form. Please try again.
Thank you for your inquiry.

We will be in touch soon.

Something went wrong

We will check and get back.