Not all products or features are available in all markets.

  • Change country/language

    Looks like you’re in {} — you’re on the {} site.

    Cancel

    Country and language selected

    You are being redirected to the {} site. Products and services availability vary by country. Do you wish to continue?

    Continue
    Cancel
GSI Viewer

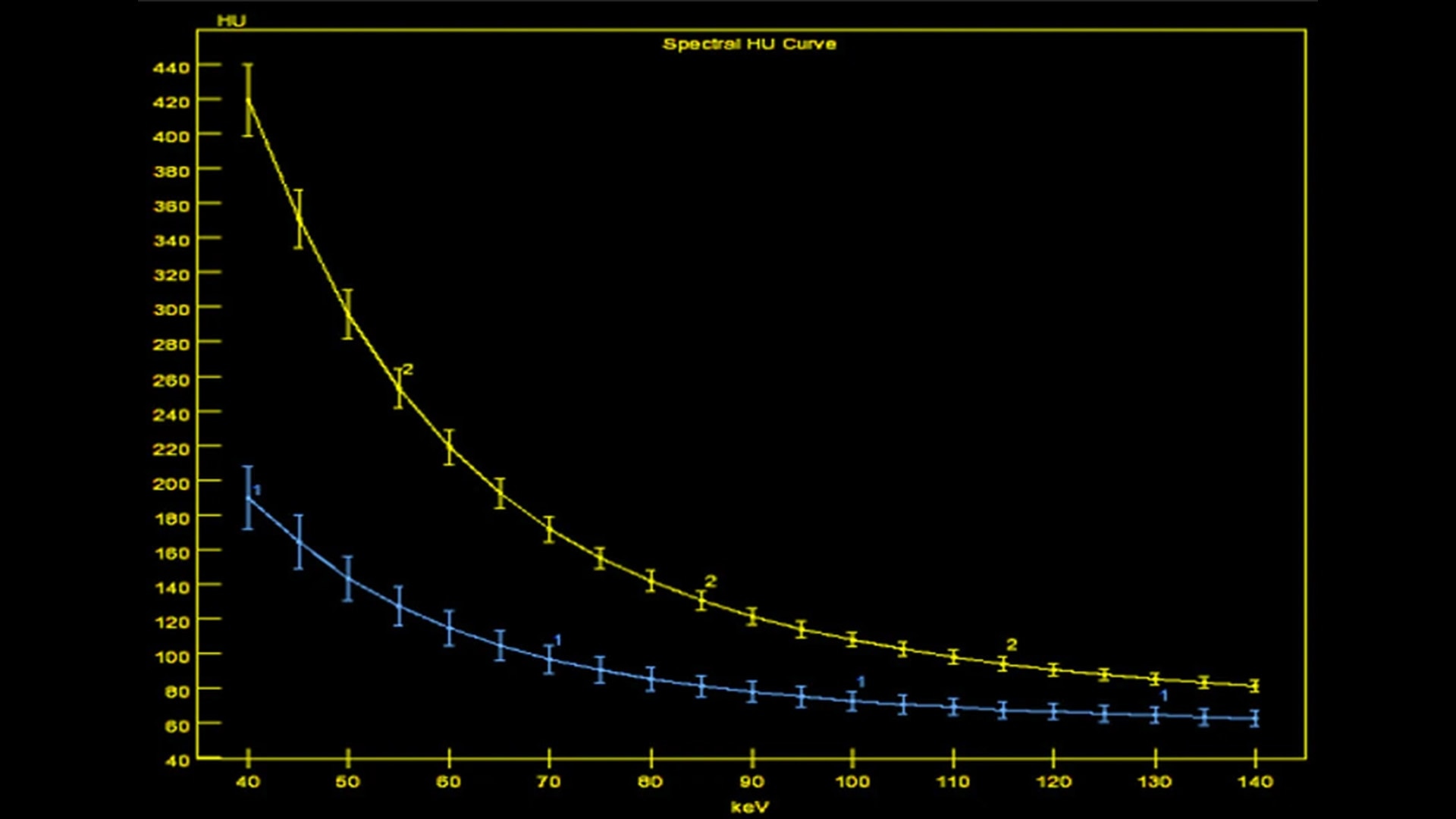
Access to spectral CT information without impacting your clinical workflow.

At a glance

Seamless integration

Access to spectral CT information without impacting your clinical workflow

Advanced visualization

Leverage the power of spectral imaging with 3D advanced visualization capabilities

Dedicated protocols

Automate reviews: Gout protocol, Pulmonary Perfusion1 or Liver Fat2

Leverage the power of Spectral Imaging with 3D advanced visualization capabilities

    

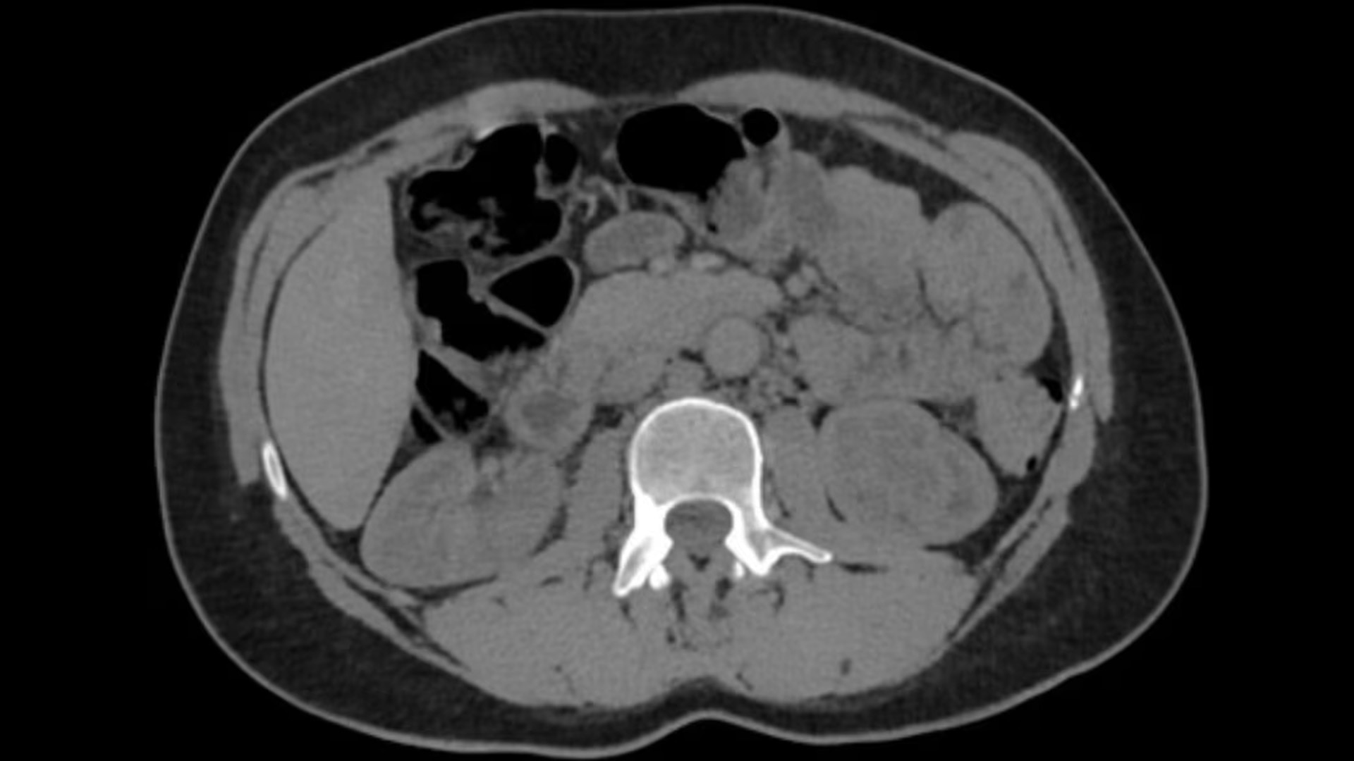
GSI Gout Protocol

Fully automated workflow for material decomposition and color overlay to assist in gout characterization:

Automated generation of 2D and 3D gout overlay

Automated export of 2D and 3D gout overlay images to the patient browser

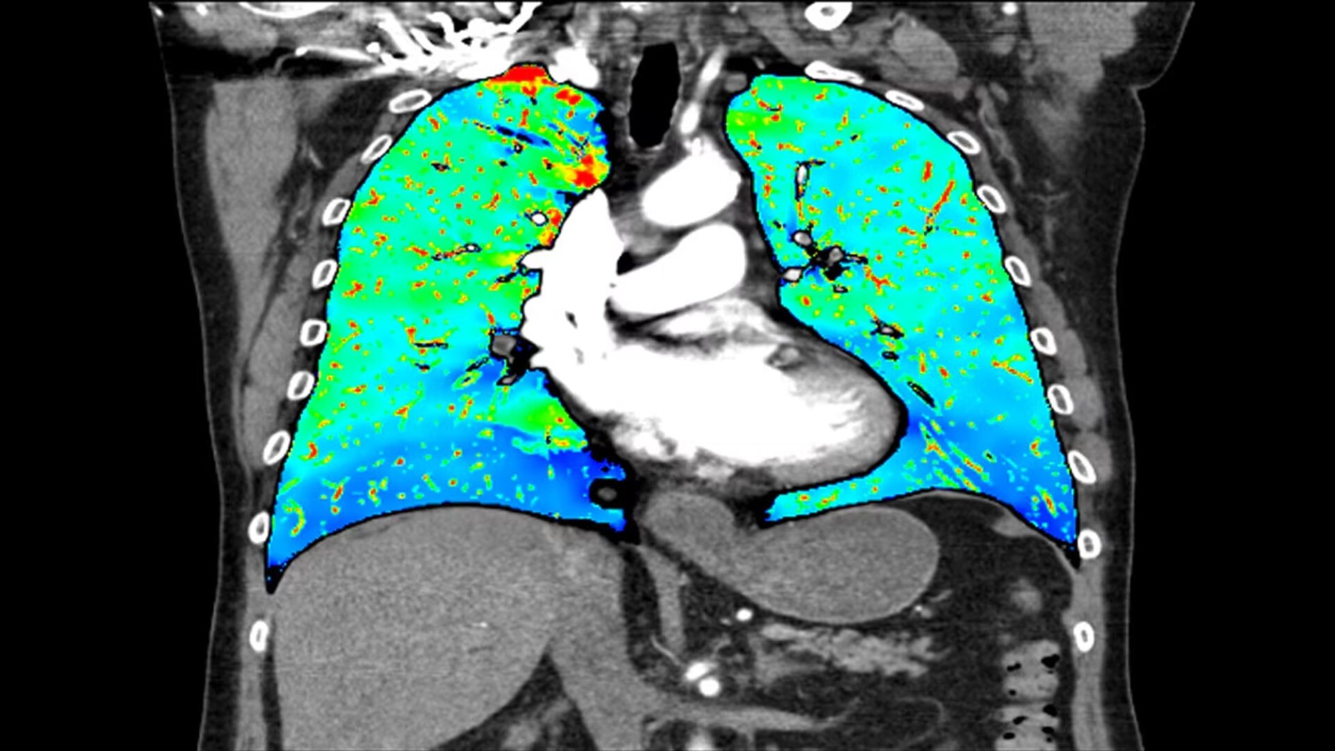
Thoracic VCAR with Pulmonary Perfusion¹

One-click protocol for relative iodine distribution

Automatic relative hypo-perfused region display

Volumes reported for total lung and relative hypo-perfusion volumes

Succinctly communicate volumes and relevant pictures to referring physicians

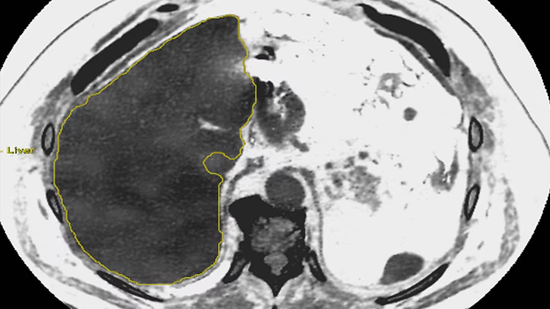
GSI Fat²

Dedicated GSI Fat capability to provide approximate percentage of fat in the liver:

Help evaluate hepatic steatosis with liver fat percentage measurements

GSI with material separation provides the ability to measure approximate liver fat percentages

Liver fat measurements compatible with non-contrast and multi-phase contrast acquisitions

References
  1. GSI Pulmonary Perfusion protocol is an optional add-on protocol to Thoracic VCAR application.
  2. GSI Liver Fat ROIs can be done on non-contrast or any phase of contrast enhancement.

Have a question? We’d love to hear from you.

Contact us

We're ready to support you in your moments that matter.

A problem occurred with your form Please see details highlighted below
Thank you for your inquiry.

We will be in touch soon.

Something went wrong

We will check and get back.

JB30111XX September 2024