Not all products or features are available in all markets.

  • Change country/language

    Looks like you’re in {} — you’re on the {} site.

    Cancel

    Country and language selected

    You are being redirected to the {} site. Products and services availability vary by country. Do you wish to continue?

    Continue
    Cancel
SmartScore™ 4.0

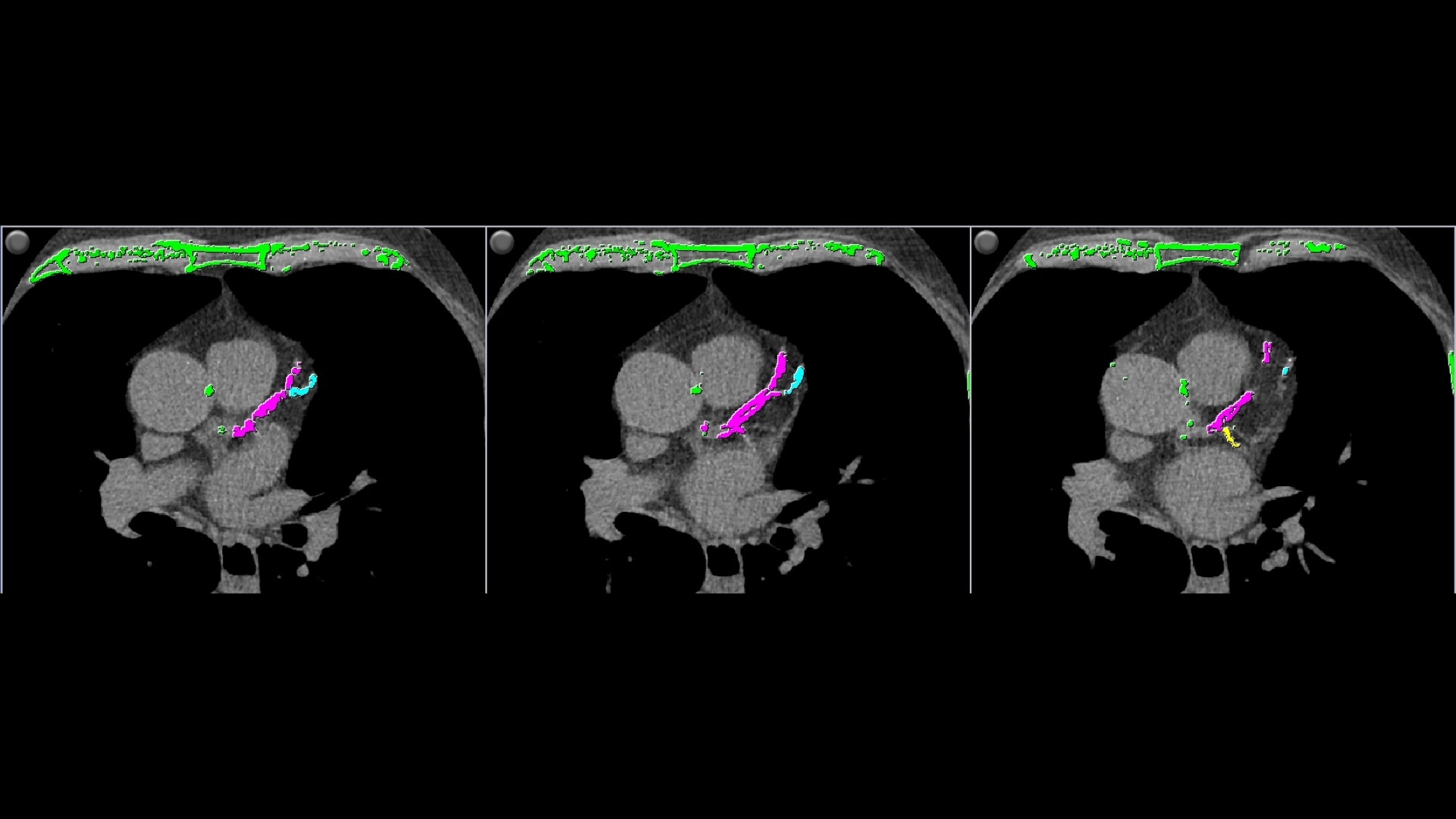
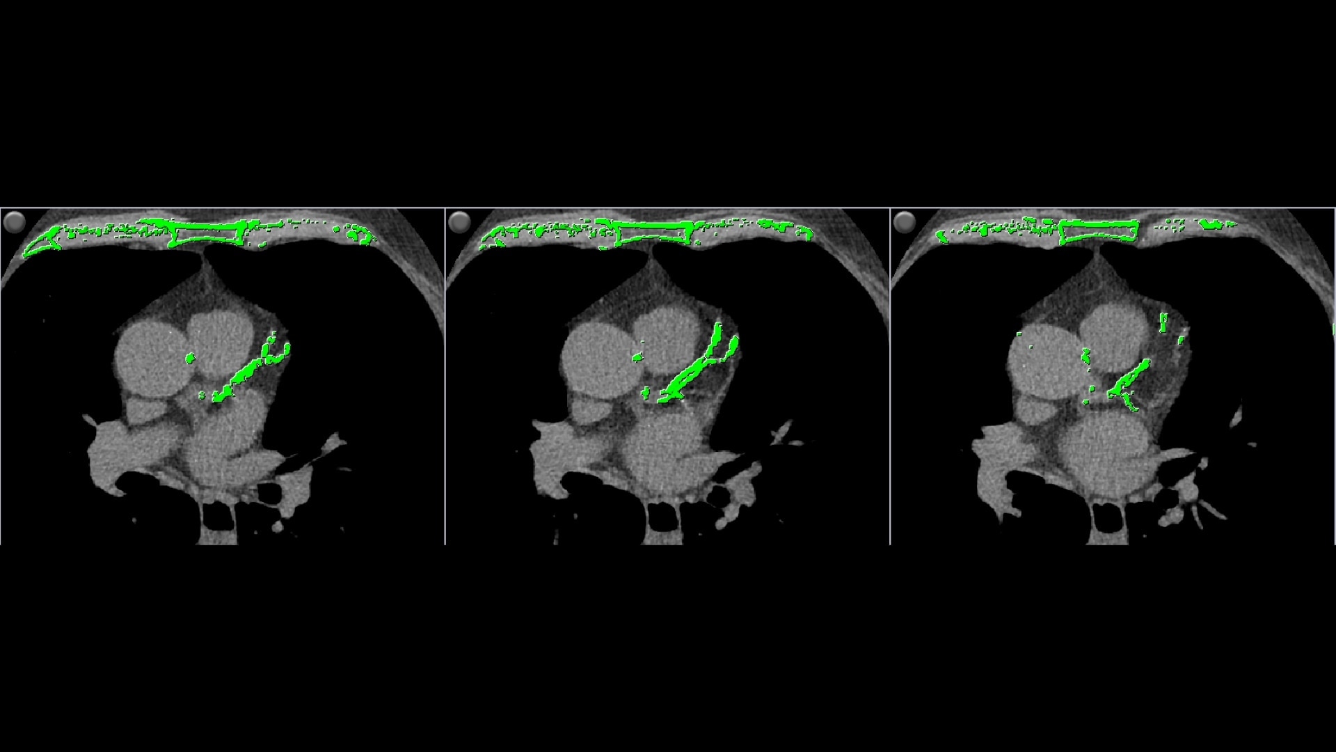
Detects, quantifies and scores cardiac calcium plaque burden.

At a glance

Efficiency

Automatic calcium detection and highlighting.

Simplicity 

Single-click calcium labeling.

Quantification

Quantify the degree of coronary artery calcification by measuring mass, volume and Agatston (AJ130) score of the plaque(s).

Additional features of SmartScore 4.0

    • Automatically detects calcium and highlights it in green
    • AJ 130 scoring method uses conventional Agatston/Janowitz technique with a threshold of 130 
    • HU which is adjusted to the appropriate image slice thickness
    • Volume scoring calculates volumes (mm3) of calcified plaque above the 130 HU threshold
    • Mass scoring calculates mass (mg) of calcified plaque above the 130 HU threshold
    • Individual and aggregate scores are computed for each artery type
    • Provides two methods of calcium scoring
    • Score can be correlated to age group cohort to determine patient’s risk per population
    • Customizable parameters can be predefined based on your site’s  preferences
    • Report options allow you to custom tailor your reports and distribute them in a variety of formats
    smartscore-4-desktop-ci-en
    Get in touch

    Have a question? We would love to hear from you.

    Contact us

    We're ready to support you in your moments that matter.

    We’re sorry, a problem occurred with the form. Please try again.
    Thank you for your inquiry.

    We will be in touch soon.

    Something went wrong

    We will check and get back.

    JB28875XX April 2024