Not all products or features are available in all markets.

  • Change country/language

    Looks like you’re in {} — you’re on the {} site.

    Cancel

    Country and language selected

    You are being redirected to the {} site. Products and services availability vary by country. Do you wish to continue?

    Continue
    Cancel
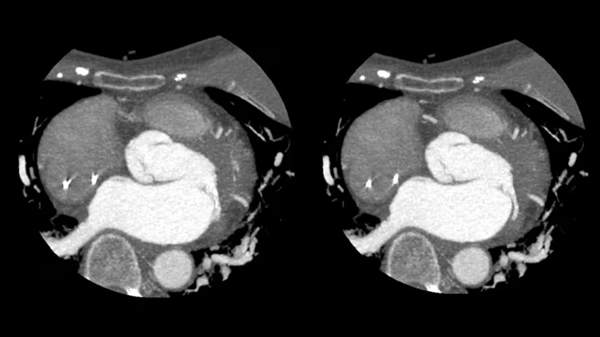
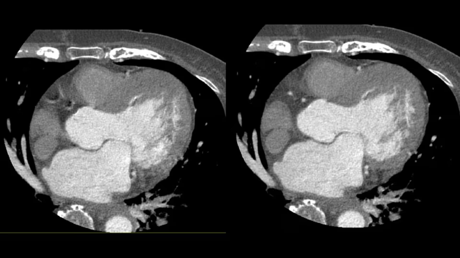
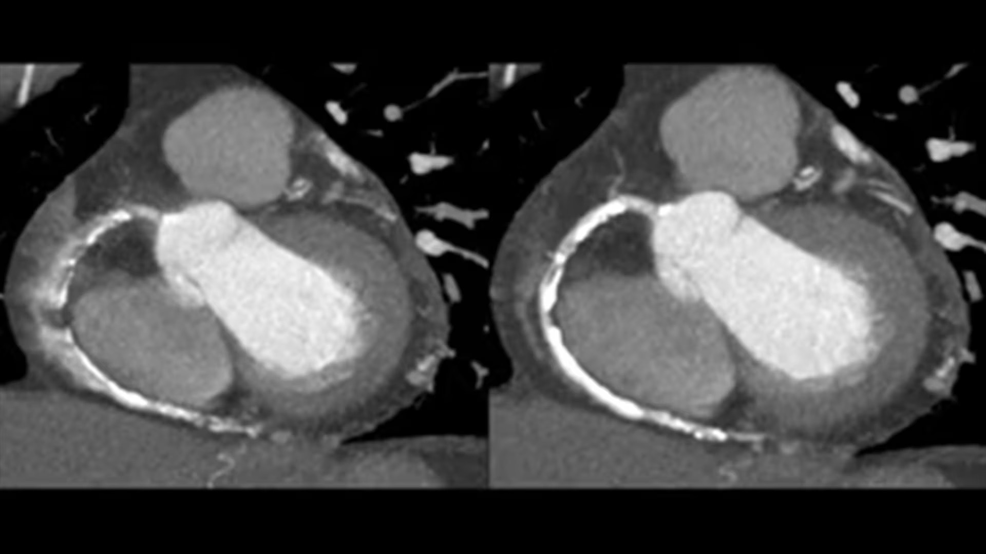
SnapShot Freeze 2

Intelligent and automated whole-heart motion correction for enhanced Cardiac CT imaging.

At a glance

Motion correction

6x reduction in motion artifacts1

Temporal resolution

19.5 msec effective temporal resolution at 0.23s/rotation gantry speed2

Automated

Whole-heart motion correction


 

References
  1. As demonstrated in mechanical and mathematical cardiac phantom testing

  2. SnapShot Freeze 2, in conjunction with 0.23 s/rotation gantry speed, provides a reduction in coronary motion artifacts that is equivalent to a 0.039 s/rotation equivalent gantry rotation speed with effective temporal resolution of 19.5 msec. As demonstrated in phantom testing using a commercially available motion phantom and also with a mathematical cardiac phantom with linear motion of variable velocity. The 0.039 s/rotation images are modeled without application of SnapShot Freeze 2. Results may vary in clinical applications.

 

Have a question? We’d love to hear from you.

Contact us

We're ready to support you in your moments that matter.

We’re sorry, a problem occurred with the form. Please try again.
Thank you for your inquiry.

We will be in touch soon.

Something went wrong

We will check and get back.

JB29860XX July 2024