Not all products or features are available in all markets.

  • Change country/language

    Looks like you’re in {} — you’re on the {} site.

    Cancel

    Country and language selected

    You are being redirected to the {} site. Products and services availability vary by country. Do you wish to continue?

    Continue
    Cancel

Effortless Imaging

Your day is demanding. Imaging doesn’t have to be.

effortlessimaging-hero-ba-en

Empower your radiology department with deep-learning imaging and workflow innovation

Effortless Imaging is a portfolio of applications developed to improve patient access to precision imaging, while reducing the burden on radiology staff. Effortless Imaging includes:

Effortless Recon DL
A portfolio of deep-learning applications designed to easily and quickly acquire and construct exceptionally clear images for confident decision making.

Effortless Workflow
A collection of features and applications that automate and streamline time-consuming tasks, from pre-scan to post-scan.
Disclaimers
  1. As compared to traditional image reconstruction.

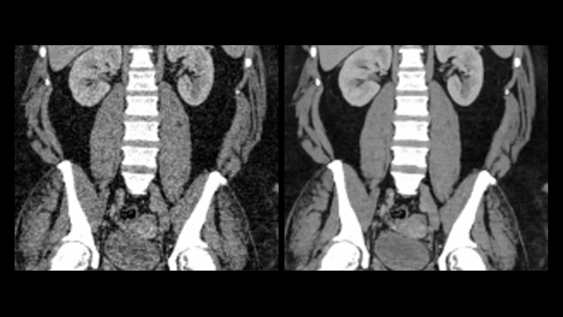
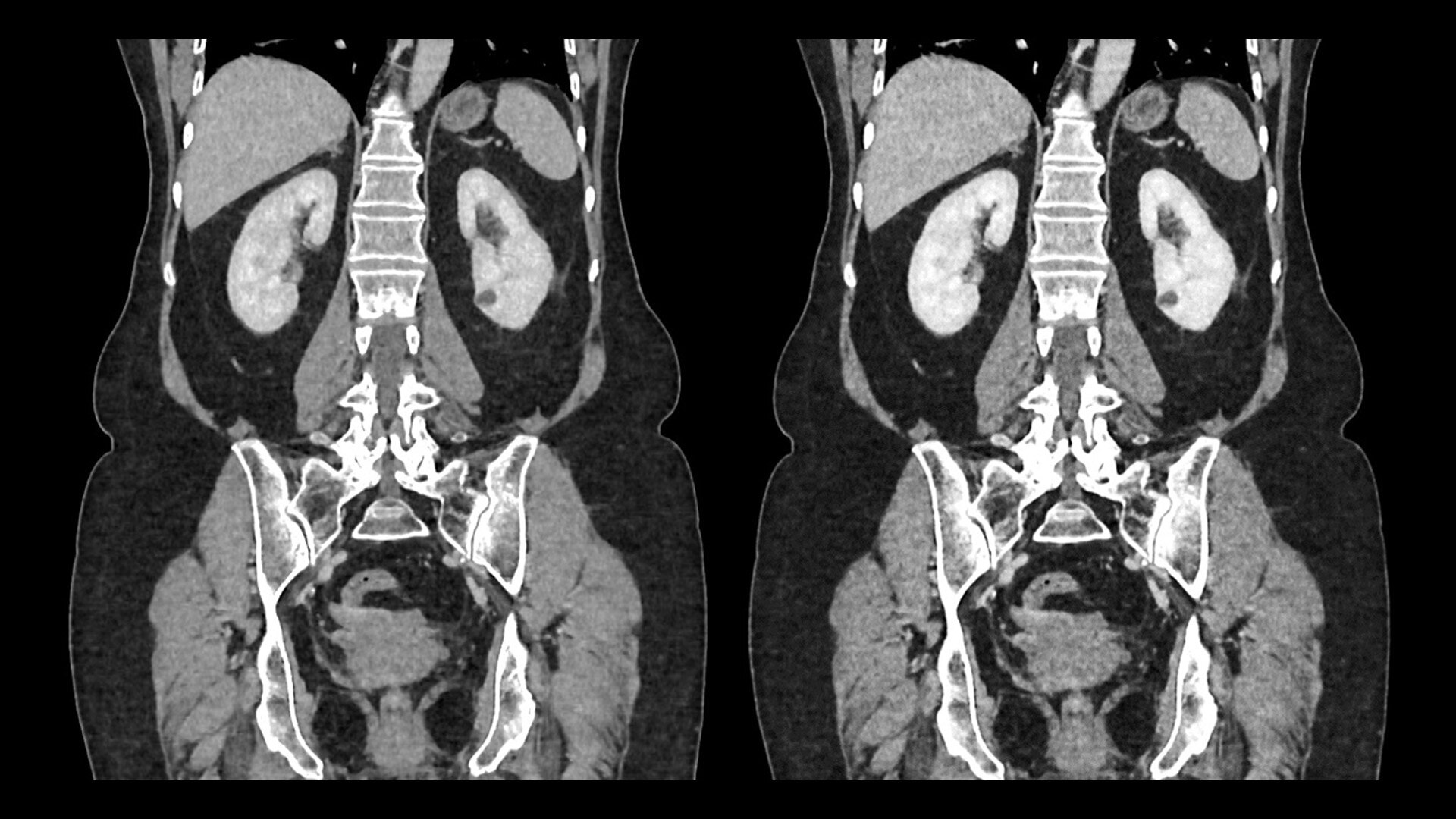
  2. TrueFidelity
    As demonstrated in a clinical evaluation consisting of 60 cases and 9 physicians, where each case was reconstructed with both TrueFidelity and ASiR‐V and evaluated by 3 of the physicians. In 91% of the reads, TrueFidelity noise texture was rated better than ASiR‐V’s. This rating was based on each individual reader’s preference.

  3. CleaRecon DL
    CleaRecon DL is an option in 3DXR designed to be used with Allia systems and requires AW workstation with Volume Viewer. May not be available in all countries. Images obtained from investigational device, limited by United States law to investigational use.

  4. Embo Assist AI
    Virtual Injection Software Reduces Radiation Exposure and Procedural Time of Prostatic Artery Embolization Performed with Cone-Beam CT. Barral et al. Journal of Vascular and Interventional Radiology, Volume 35, Issue 3, 409 – 415
    .
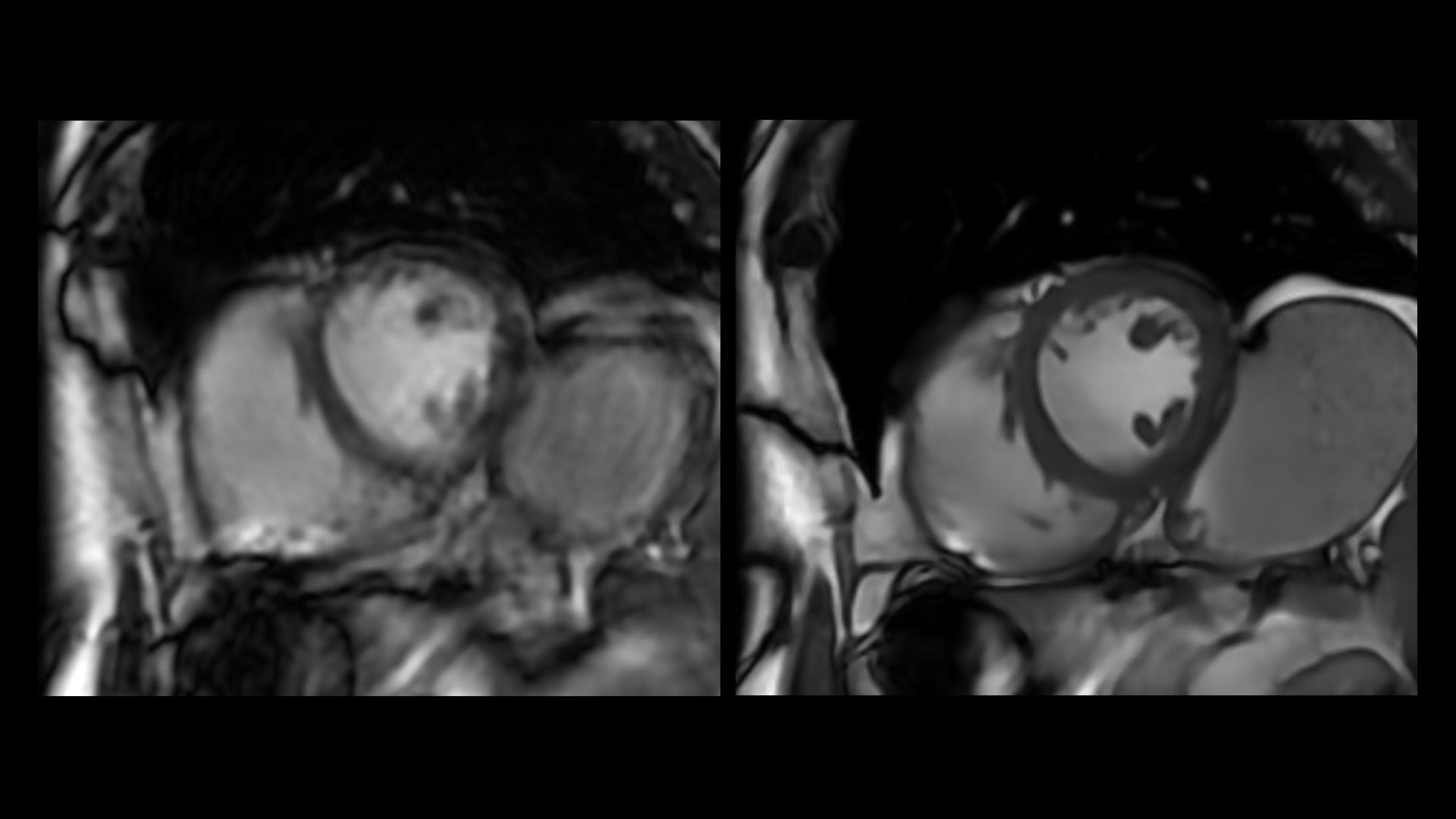
  5. AIR Recon DL
    AIR Recon DL leverages raw data and is integrated in the image reconstruction. This delivers improved SNR and sharper images by up to 60%.

  6. Sonic DL
    Versus full-sampled CINE acquisition.

  7. Precision DL
    Detectability using clinical data with an inserted 8 mm diameter liver lesion of known location and 2:1 contrast using a CHO model observer, comparing SNR from OMNI Legend 32 cm with QCHD and PDL to SNR from DMI 25 cm with QCFX, at matched scan time and injected dose.

  8. Helix
    GE whitepaper: High resolution for improved visualization (DOC2045904).

Have a question? We would love to hear from you.

Contact us

We're ready to support you in your moments that matter.

We’re sorry, a problem occurred with the form. Please try again.
Thank you for your inquiry.

We will be in touch soon.

Something went wrong

We will check and get back.