Not all products or features are available in all markets.

  • Change country/language

    Looks like you’re in {} — you’re on the {} site.

    Cancel

    Country and language selected

    You are being redirected to the {} site. Products and services availability vary by country. Do you wish to continue?

    Continue
    Cancel

Helix™ Advanced Image Processing

AI-driven image processing platform that provides diagnostic quality imaging from the very first X-ray

us-service-apprentice-ba-en

At a glance

Consistent image quality

See consistent brightness and contrast despite variations and exam conditions

Exceptional detail

Acheive outstanding clarity and anatomical detail across image types

Adaptive noise reduction

Reduce noise while minimizing the effect on fine details

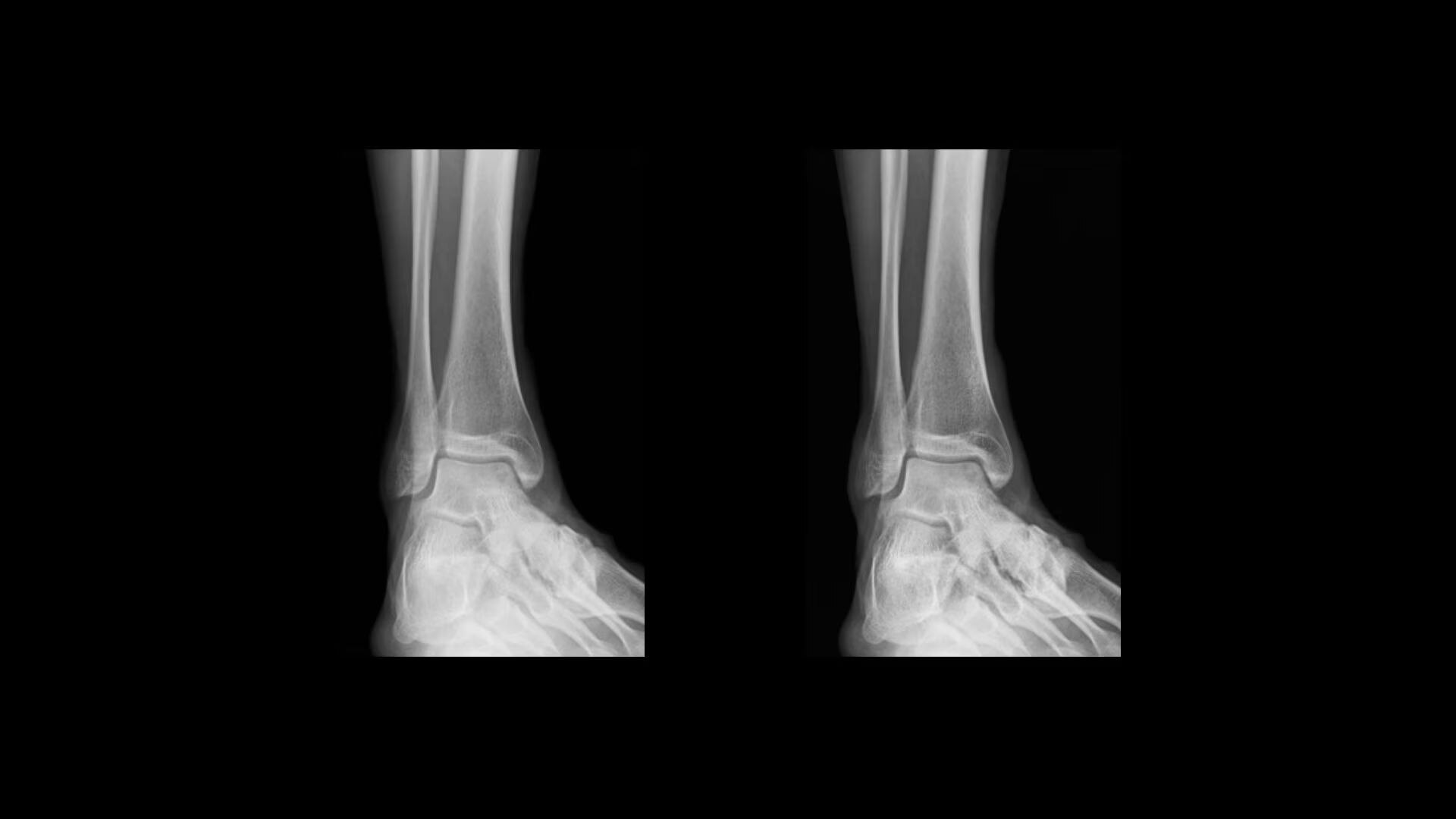
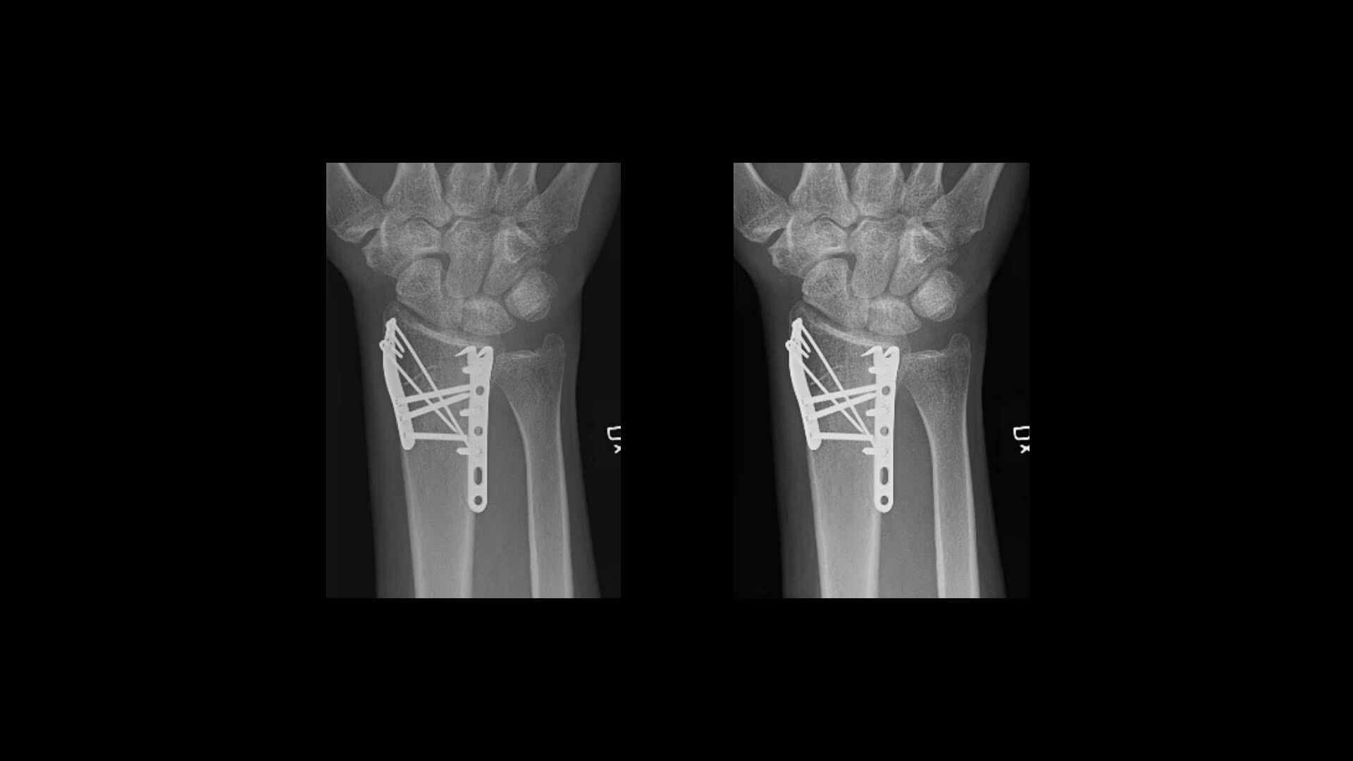
Metal implant handling

See clear bone-metal interface without halo artifact

Extraordinary anatomical detail at low dose

Helix™ Advanced Image Processing offers unparalleled sharpness, balanced contrast, and optimal brightness, even in the face of dose and patient anatomy variations, as well as challenging metal implants. Available on all of our fixed and mobile X-ray systems, Helix provides consistent performance regardless of exposure technique or exam conditions.

Features
Don't miss a thing
The power of Helix Advanced Image Processing, coupled with our FlashPad™ Imaging Suite of detectors, provides uncompromised image quality thanks to ultra-high resolution and enhanced noise control.
Consistency
Harness AI for improved consistency
Automated AI Brightness and Contrast (AIBC)
delivers consistent brightness and contrast for 56* anatomy and view combinations regardless of variations in dose, patient positioning, field of view and metal implants. By automatically adjusting brightness and contrast to a user-defined preference, Helix's AIBC can help reduce technologist image processing time by up to 87%.¹
web-helix-feature-ci-en
Clarity
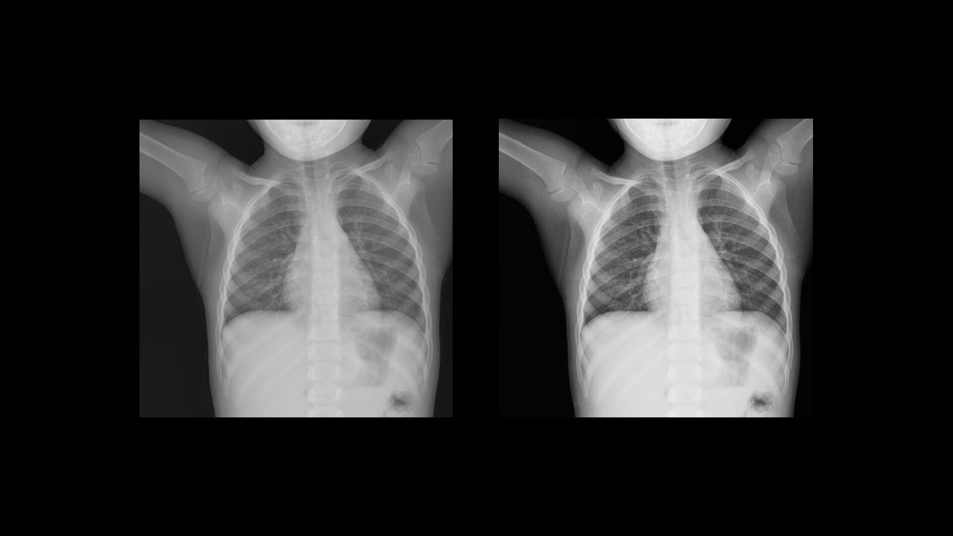
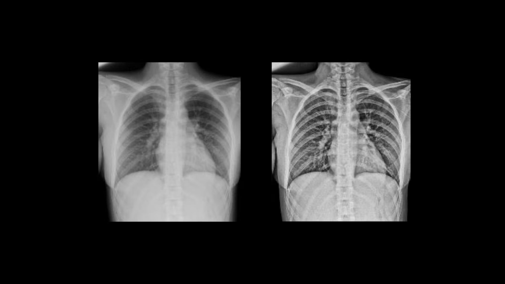
Improve visualization and detail
Local Contrast Enhancement (LCE) increases local contrast in both pediatric and adult chest X-ray images for better visualization of the lungs, heart, and spine regions. It is also available for ankle joint (AP), foot (AP), and patella (tangential)*, and has three levels of enhancement (low, medium and high).
web-helix-feature-hero-st-en
Reduced noise
Reduce noise levels
Detail Preserving Noise Reduction Filter (DPNR) offers significant noise reduction capabilities while minimizing the effect on fine details. DPNR provides adaptive noise reduction based on the image with an edge-preserving filter to maintain edge details. It has three levels of reduction (low, medium and high).
web-helix-3-noise-ci-en
Flexibility
Reach a diagnosis, quickly
Helix offers four predefined sets of anatomy- and view-specific “looks” for different levels of contrast, brightness, edge enhancement, noise reduction and tissue equalization.

Real-time IP Looks provides faster and easier fine-tuned customizations.

IQ Compare allows for simultaneous viewing of standard and customized looks to simplify comparisons.

QuickEnhance offers one-touch reprocessing of images with a custom look. It is customizable by anatomy for multiple uses, including instrument check, implant visualisation and line placement.
web-helix-4-flexibility-ci-en
JB25438XX July 2023

 
 
 
 
* Feature not available on all versions of Helix. Helix version varies by system. Contact your local sales representative to learn more.

References
  1. GE HealthCare data on file.

 

 

 


Have a question? We would love to hear from you.

Contact us

We're ready to support you in your moments that matter.

We’re sorry, a problem occurred with the form. Please try again.
Thank you for your inquiry.

We will be in touch soon.

Something went wrong

We will check and get back.