Not all products or features are available in all markets.

  • Change country/language

    Looks like you’re in {} — you’re on the {} site.

    Cancel

    Country and language selected

    You are being redirected to the {} site. Products and services availability vary by country. Do you wish to continue?

    Continue
    Cancel

SIGNA™ Premier 3T wide-bore MRI scanner

Uncompromised 60 cm performance in a 70 cm wide-bore MRI scanner for advanced imaging and research

At a glance

Innovative technology

SuperG 80/200 Gradients, 146 ch TDI Rf Chain, 60 cm performance in a 70 cm bore

Clinical confidence

Revolutionary, deep-learning-based reconstruction techniques such as AIR™ Recon DL provide sharper, clearer, and accurate images

Elevated patient experience

Feet-first imaging, and revolutionary AIR™ Coils provide clinical versatility, comfort and greater coverage

This 3T wide-bore scanner is designed for research and beyond​

Expand your research capabilities and accelerate clinical outcomes with GE Healthcare’s most powerful 3T wide-bore MRI scanner. SIGNA™ Premier delivers a new performance standard for the most demanding applications and helps differentiate your services through technology, clinical capability, and patient comfort.​

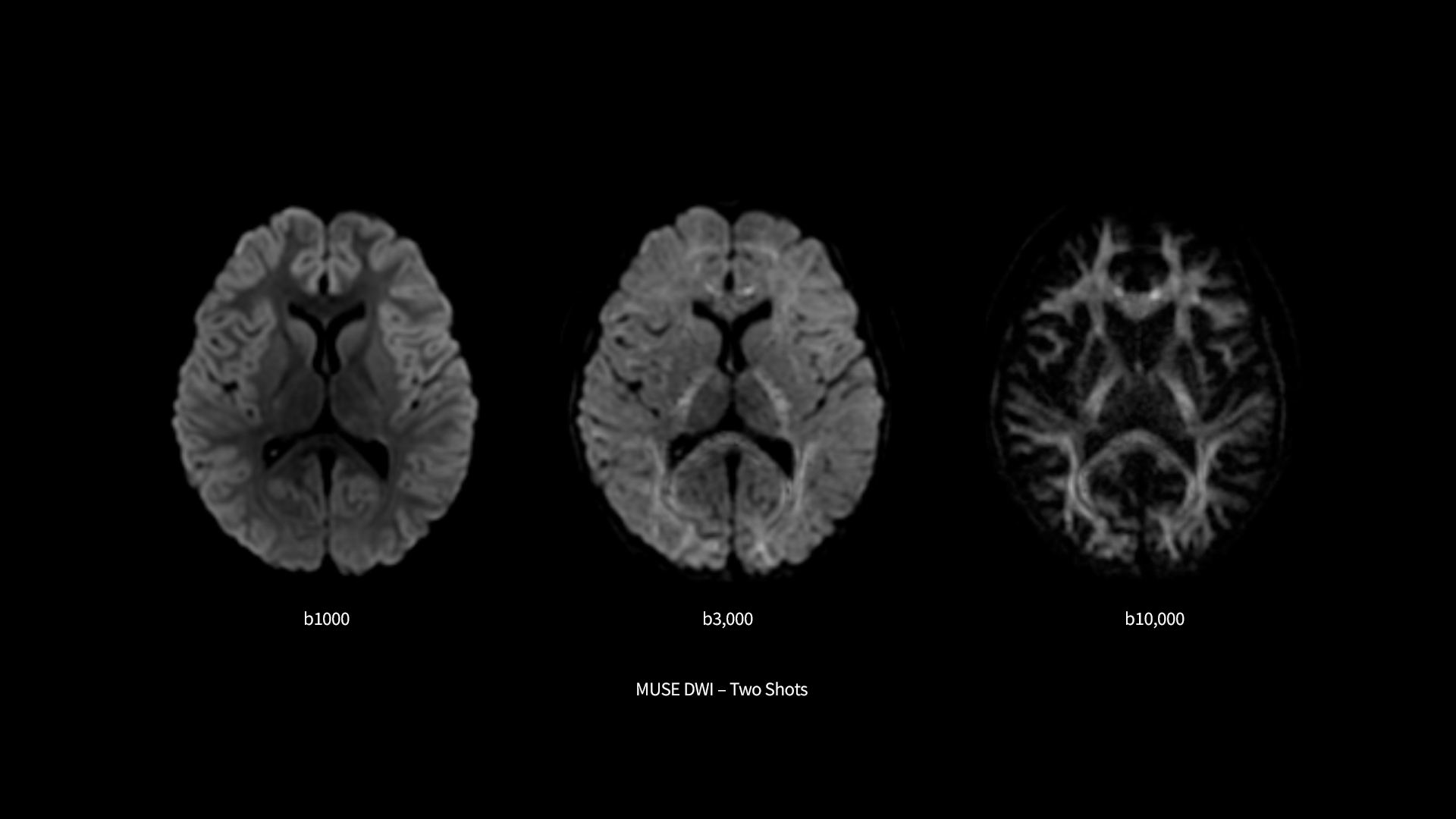
​SIGNA™ Premier supports the most demanding applications, such as Connectome-type studies that require Ultra-short TE diffusion imaging and high-resolution resting state fMRI. While it is a pioneering MRI system for cutting-edge research, it offers all the features needed to deliver routine clinical throughput. This includes delivering high end diagnostic image quality while ensuring the highest level of patient comfort.​

SIGNA™ Premier with the 80/200 SuperG Gradient coil delivers 60cm performance in a 70cm bore​

The SuperG gradient coil consists of revolutionary All-Hollow wires which provide direct cooling per axes that contribute to a steady state heat removal (45 kW) and leads to a Temporal stability of <0,05% RMS with no linear drift.

 

The cutting-edge stability is achieved by producing gradient coils with 1.2 km of All-Hollow wire in a millimeter-precise Force and Torque balanced design that negates net force and thus significantly reduces acoustic vibration.

 

In addition to all these features, there are also High Order Shim Terms integrated in the coil structure for a B0 inhomogeneity correction across the entire body.

Download brochure
Clinical confidence
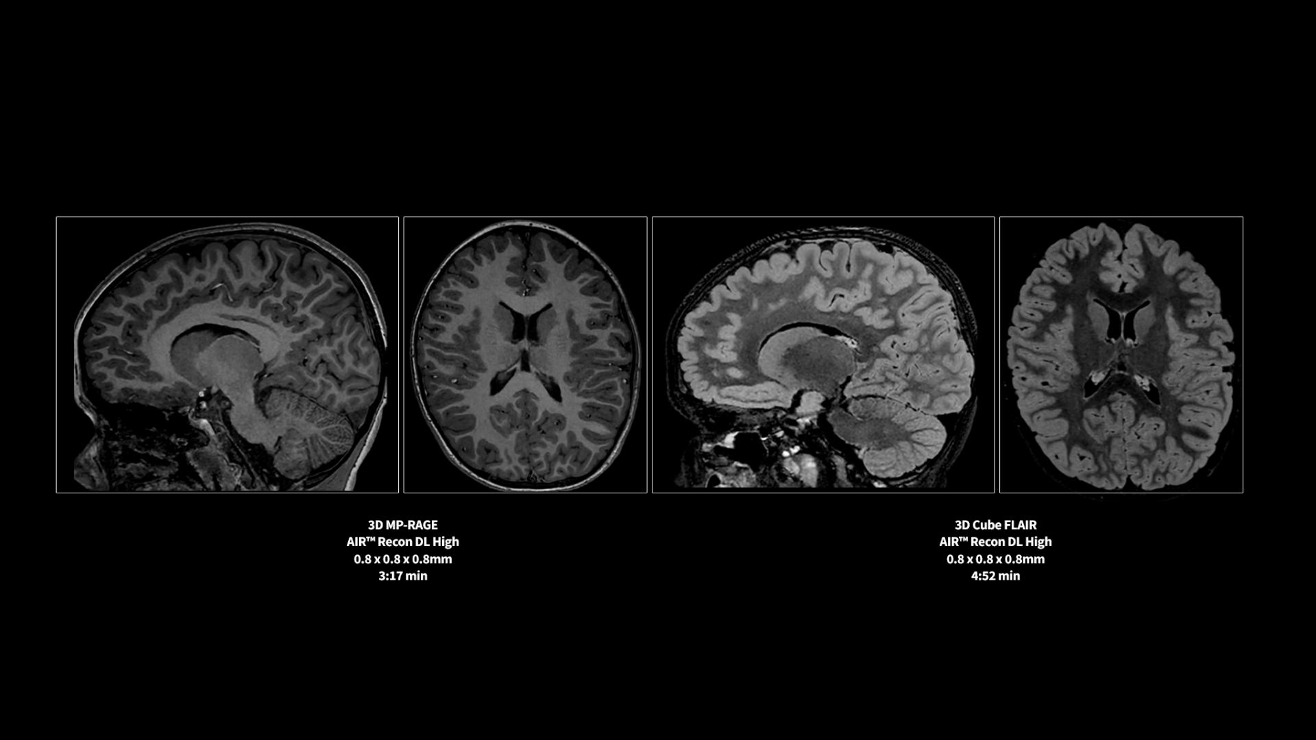
Pin-sharp image quality and exceptional speed with AIR™ Recon DL and Sonic™ DL​
SIGNA™ Premier offers the versatility you need to fulfill all your clinical needs. Explore the advanced imaging and clinical capabilities achievable with the SIGNA™ Premier system.

Experience pin-sharp precision and remarkable speed with a 3T SIGNA™ Premier MRI scanner, coupled with AIR™ Recon DL and Sonic™ DL.
pin-sharp-air-vi-en
Elevetad patient experience
Unique comfort with SIGNA™ Experience​
Comfort is a universal requirement in MR exams, sought after by patients, technologists, and radiologists alike. SIGNA™ Premier prioritizes comfort, featuring a 70cm wide-bore and the innovative SIGNA™ Experience workflow.

With Smart User technologies such as AIR x™ and AIR Touch™, alongside AIR™ Coils for superior patient experience, SIGNA™ Premier addresses the comfort needs of everyone involved.
unique-comfort-signa-vi-en
Innovative technology
A powerful science tool with remarkable versatility
SIGNA™ Premier exemplifies many powerful robust attributes that makes it an exceptional MR for academic institutions. Alongside the SuperG gradients, which are proficient in executing the Human Connectome Protocol (HCP), the system has impeccable fMRI stability, a high RF-channel count with AIR™ Coils and a suite of deep learning applications.

The platform also supports cutting-edge technologies like Multi Nuclear Spectroscopy designed for C13 nuclei and Hyperpolarized C13 imaging. Unsurprisingly, these advanced capabilities have led to the adoption of SIGNA™ Premier by esteemed Academic sites for their scientific endeavors.
a-powerful-science-st-en
Operational excellence and sustainability
A new magnet committed to sustainability​
The new SIGNA™ Premier magnet uses intelligent magnet technology which is 1.4x more efficient than previous models. It also uses 67% lower helium and weighs 2.0 tons less than the previous generation magnet. Our magnets are also part of the GE Continuum™, meaning your GE magnet stays current for multiple product generations through the SIGNA™ Evo, SIGNA™ Continuum™ and SIGNA™ Lift programs.​

​With built-in sleep mode to conserve energy and the ability to reduce power consumption through reduced scan time of up to 50% with AIR™ Recon DL, SIGNA™ Premier is a sustainable investment you can feel good about.
a-new-magnet-st-en
Related products

Advanced and intuitive solutions redefining what MRI can be

The MRI versatility you need to meet all your clinical and operational challenges.
signa-premier-evo-product-tile-en

SIGNA Premier Evo

Explore the SIGNA™ Premier Evo upgrade. Widen the clinical capabilities of your legacy MRI systems.

Learn more about SIGNA™ Premier 3T wide-bore MRI scanner

Contact us

We're ready to support you in your moments that matter.

We’re sorry, a problem occurred with the form. Please try again.
Thank you for your inquiry.

We will be in touch soon.

Something went wrong

We will check and get back.

JB23868XX October 2023