Not all products or features are available in all markets.

  • Change country/language

    Looks like you’re in {} — you’re on the {} site.

    Cancel

    Country and language selected

    You are being redirected to the {} site. Products and services availability vary by country. Do you wish to continue?

    Continue
    Cancel
VenueTM family
Point of care ultrasound for regional anesthesia

Offering anesthesiologists an effortless, multi-purpose ultrasound system, the Venue™ family helps  confidently decrease the risk of complications during nerve block procedures. Vibrant images and a powerful suite of tools allow you to see nerves and surrounding anatomy quickly and clearly to optimize local anesthetic distribution.

Benefits

Powerful imaging designed for your needs

Vibrant visuals

Clear needle visualization enables effective procedures

Easy to clean

Smooth and seamless surfaces support infection control 

Wide range of probes

Accurately monitor nerve blocks at the deepest and shallowest depths 

Intuitive user experience

Gesture-driven user interface features a modern, adaptable design 

Features
Made for your point of care
With vibrant images and automated tools, Venue simplifies complicated procedures—improving efficacy of nerve blocks and enhancing patient comfort and safety.
Simple to use
Streamlined to quickly assess patient status
Precise blocks built on one platform, the entire Venue family has simplified the steps required for operation and features improved accessibility. Its button probes allow you to perform procedures that once required two people with only a single person.
venue-point-of-streamlimed-st-en
Precise
Accurate imaging for enhanced clinical confidence
Helping improve patient outcomes by reducing error rates, Venue’s imaging software is optimized to help the nerve stand out from other types of tissue. Allowing you to differentiate between the needle and patient anatomy with confidence, Venue family systems guide you with a real-time view of anatomy, needle advancement and local anesthetic spread.
regional-anesthesia-sticky2-te-en
Fast
Presets for improved operational efficiency
With nerve specific presets that quickly set image parameters, Venue family systems store the appropriate settings to use for anatomy and probe type to get you scanning faster. Playing an important role in ensuring image quality and clinical efficiency, presets aim to greatly reduce the number of controls you need to adjust in order to optimize images.
regional-anesthesia-sticky3-te-en
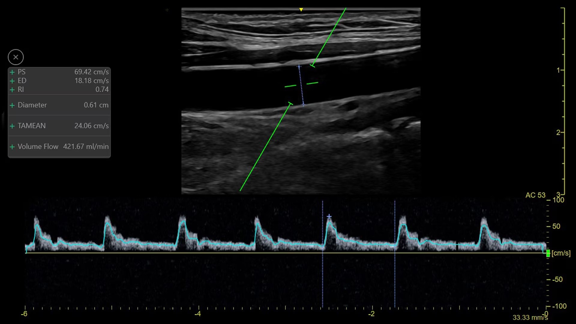
Auto Volume Flow
Auto measurement with Auto Volume Flow
Use the auto measurement to calculate the brachial or radial artery flow volume in real time for dialysis procedure preparation. Helps you calculate the arterial flow volume in real-time (based on vessel diameter and PW spectral doppler flow measurement).
regional-anesthesia-sticky4-te-en

Be prepared for nerve block procedures

With its straightforward design, the Venue family of point of care ultrasound systems empower you to make fast clinical decisions with confidence.

Perform ultrasound-guided peripheral nerve blocks with Nerveblox™.

Standard for Venue and Venue Go, this AI-enabled tool automatically labels key anatomical landmarks in the ultrasound image, helping clinicians feel confident during the procedure and streamlining the workflow with the goal of reducing procedure time.
venue-point-of-nerve-block-card1v2-ci-en

Visualize more anatomy in a single scan with Virtual Convex

This tool provides a wide field of view so users can visualize more large anatomy structures in a single scan while also aiming to enhance image quality on linear probes.
venue-point-of-nerve-block-card2-ci-en

Remove the clutter with Simple Screen

Simple Screen mode allows you to view only the icons you want and increase the ultrasound image by 39% on Venue and 18% on Venue Go and Venue Fit.2
venue-point-of-nerve-block-card3-ci-en

Automatically recall parameter settings with Follow Up

Delivering consistent and clear conclusions for repeated exams on the same patient, Follow Up automatically recalls parameter settings from a previous exam including comments and body patterns. It also supports monitoring of patient response to treatment over time, allowing a side-by-side view of historical and new images.
venue-point-of-nerve-block-card4-ci-en

Improved visualization with Needle Recognition

Needle Recognition also allows you to easily differentiate between the needle and patient anatomy with confidence—allowing you to quickly guide the needle exactly where it needs to be and helping to minimize patient discomfort.
venue-point-of-nerve-block-card5-ci-en

    

Venue regional anesthesia brochure

Download and read this brochure for a more in-depth understanding of how Venue delivers confidence at point of care, when it matters most.

 

Explore POCUS bibliography

regional-anesthesia-brochure-te-en

Venue probes

A broad range of probes helps you accurately administer nerve blocks at the deepest and shallowest depths.
venue-point-of-venue-probes-card2-st-en

Product tutorial gallery

Get a first-hand look at how Venue supports anesthesiologists.
regional-anesthesia-product-tutorial-gallery-te-en
Products

Discover the point of care ultrasound family

Whether you’re looking for an adaptable model that goes from cart to table to console system with a large screen, there is a versatile, robust, and simple system made for your point of care.

References
  1. Chui, J., et al. “Identifying Barriers to the Use of Ultrasound in the Perioperative Period: A Survey of Southwestern Ontario Anesthesiologists.” BMC Health Services Research, BioMed Central, 4 Apr. 2019, bmchealthservres.biomedcentral.com/articles/10.1186/s12913-019-4040-2.
  2. Messaging and claims DOC2454794 and DOC2391130.

Venue Sprint is approved for use in road/air ambulance (compliant with 60601-1-12)

Have a question? We would love to hear from you.

promo-dynamic-highlight-ph-en
Thought leadership

Stay ahead with the latest insights in diagnostic cardiology

Tailored to provide relevant, interesting, and informative articles allowing you to unlock the full power of the ECG to help you treat patients.
Contact us

We're ready to support you in your moments that matter.

We’re sorry, a problem occurred with the form. Please try again.
Thank you for your inquiry.

We will be in touch soon.

Something went wrong

We will check and get back.

JB25854XX November 2024