İlk MR sistemi kullanımınızın ne kadar kolay olabileceğini görmek için izleyin


MR sistemi kullanmaya hazırsınız

Tesisten taramaya kadar çevre dostu
- Daha kolay yerleşim için küçük yerleşim alanı
- %25 daha düşük güç derecesi
- Kullanım ömrü boyunca %70'e kadar daha az helyum tüketimi

Öğrenme eğrisi?
- Her gün faydalandığınız deneyime yakın, sezgisel, ileriye dönük bir kullanıcı deneyimi
- Teknisyenler birkaç saat içinde MR sistemi kullanmayı öğrenebilir
- Uzaktan destek


Yapay zeka size yardımcı olmak için burada

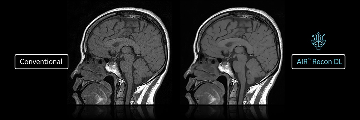
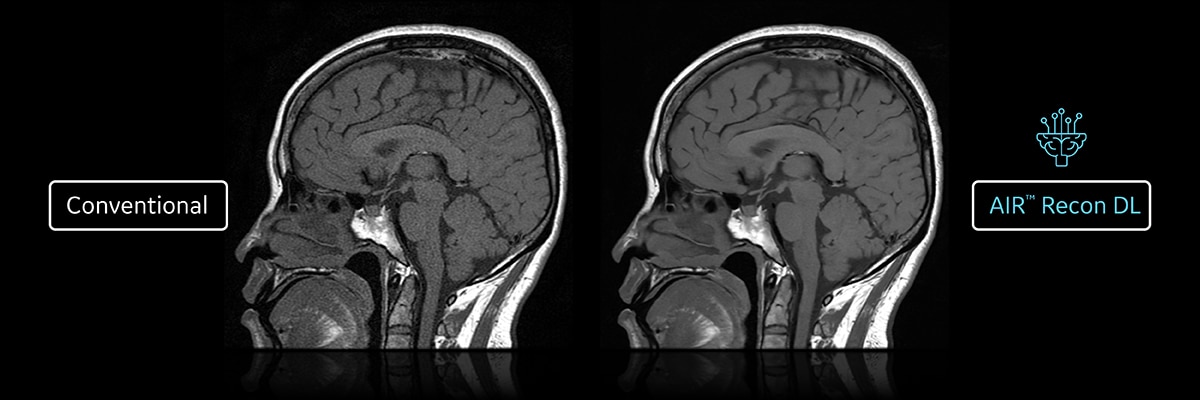
Nöro - AIR™ Recon DL ile 06:06 dak
Lumbar Omurga - AIR™ Recon DL ile 05:46 dak
Diz - AIR™ Recon DL ile 04:49 dak
