Galeri
C2-9 Renkli HVS
Umbilikal Akış PDI
Endometrium, RIC5-9 probu
C2-9 IVC B Modu
ML6-15 Neonatal ABD
Fetal yüz, RAB4-8 probu
Otomatik IMT ölçümü, 9L probu
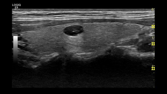
Neonatal omurga, ML6-15 probu
Kardiyak 6TC Dalga Formu
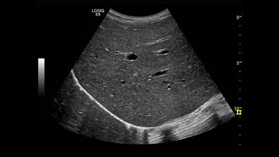
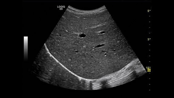
Karaciğer, 9L probu
Elastografi, ML6-15 probu
Portal ven trombozu ve patent hepatik arter, S1‑5 probu
Tübal Yumurtalık Apsesi, IC5-9 probu
Renal kitle, C1-5 probu
İnternal karotid arter, 9L probu
Çoklu Modaliteli Sorgulama/Alma ve ML6-15 probuyla MRG ve ultrason lezyon korelasyonu
Neurinoma, ML6-15 probu
MR ve Ultrason füzyon bindirmesinde gösterilen portal ve hepatik venler, C1-5 Probu
B-Flow Color ICA - Plak ML6-15
Testis, RSP6-16 probu
Safra Taşı, C1-5 probu
Hemorajik kist, RSP6-16 probu
Yaygın femoral arter çatallanması, 9L probu
Böbrek, C1-5 probu
LOGIQ View Gastrocnemuis Kası
ML6-15 Melanom
B Modu ve 2D Shear Wave Elastografi Çift Ekranı - Normal karaciğerde SW hızı yayılım renk paterni
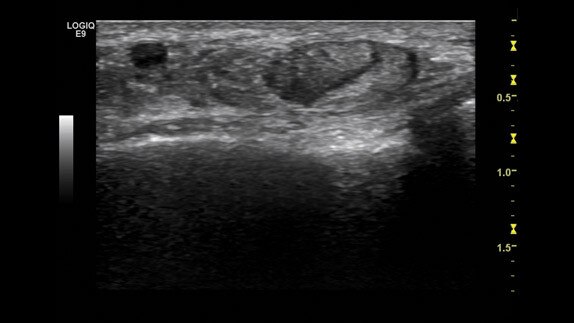
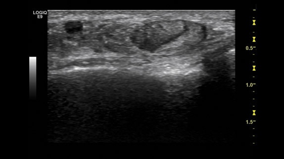
Tiroid, ML6-15 probu
2D Shear Wave Elastografi - Dual ROI konumlandırmasıyla kPa cinsinden karaciğer sertliği ölçümleri
8 cm derinlikte Shear Wave velosite ölçümü
Neonatal Head B-Flow vaskülatürü gösteren renk haritası
Gezinti

Agile Akustik Mimari
Agile Akustik Mimari, tescilli klinik insan vücudu modellerine dayanan esnek bir yaklaşımdır.
Otomatik Optimizasyon
Otomatik Optimizasyon (AO), yalnızca bir düğmeye dokunarak B Modu ve spektral Doppler'de mükemmel ve tutarlı görüntü kalitesi sunmaya yardımcı olur.
Kodlu Harmonik Görüntüleme
Kodlu Harmonik Görüntüleme, tipik harmonik görüntülemeye kıyasla iyileştirilmiş küçük parça görüntüleme ve uzak alan penetrasyonu için yakın alan çözünürlüğünü iyileştirmeye yardımcı olur.
CrossXBeam
CrossXBeam, farklı açılardan birden fazla görüntüyü daha iyi sınır tanımını ve yüksek kontrast çözünürlüğünü mümkün kılan tek bir gerçek zamanlı görüntüde bir araya getirir.
E Serisi Prob Teknolojisi
Acoustic Amplifier Teknolojisi, kullanılmayan akustik enerjiyi tekrar yakalayarak daha yüksek hassasiyet sağlamaya yardımcı olur. Diğer E Serisi prob teknolojileriyle kullanıldığında büyük bedenli hastalarda yüksek penetrasyon, Üstün uzaysal çözünürlük ve yakın alandan uzak alana görüntü homojenliği elde edilerek tanısal güvenin iyileştirilmesine katkı sağlanır.
Leke Azaltan Görüntüleme
SRI, doğru doku görünümünü sürdürürken leke gürültüsünü azaltarak kontrast çözünürlüğünü artıran gerçek zamanlı bir algoritmadır.
Üstün Görüntüler
Kolay İş Akışı
Uzman Araçlar
Eğitim
Ultrason IT
Videolar
LOGIQ Club
Sizleri, binlerce LOGIQ ultrason kullanıcısından oluşan bir ağ olan LOGIQ Club'a katılmaya davet ediyoruz. Kulüp üyeliği, yalnızca üyelere açık olan çok sayıda araç ve kaynağa erişmenizi sağlayarak LOGIQ ultrason sisteminizin tüm gücünü kullanmanıza yardımcı olur. Üyeler, LOGIQ ultrason teknolojisindeki gelişmeler hakkında düzenli olarak bilgilendirilir ve kulübün kendi LOGIQ Club web sayfasında duyurulan özel teklif ve fırsatlardan yararlanır.
Kulüp üyeliğinin pek çok avantajı vardır:
- Yeni ürünler hakkında bilgiler ve öneriler
- Eğitim teklifleri ve çevrimiçi eğitimler
- Uygulama ipuçları ve kolaylıklar
- Tanıtım yazıları ve kullanıcı kılavuzları
- Klinik görüntü galerisi
Henüz üye değilseniz, bu öne çıkan araçlardan yararlanmak için hemen kulübümüze katılın.